I. Đại cương
– Tắc ruột (Ileus) là sự ngừng trệ các chất chứa trong lòng ruột, là cấp cứu ngoại khoa hay gặp, chiếm tỷ lệ 9-19% cấp cứu bụng và 0,8-1,2% các bệnh ngoại khoa. Tỷ lệ tử vong là 1-2%.
– Frederik Treves là người đầu tiên chia tắc ruột làm 2 loại: tắc ruột cơ năng và tắc ruột cơ học.
– Tắc ruột gặp ở mọi lứa tuổi, cả nam và nữ, nhưng mỗi lứa tuổi có những nguyên nhân hay gặp khác nhau.
* Phân loại tắc ruột
– Theo nguyên nhân:
+ Tắc ruột cơ năng: 3-5%
+ Tắc ruột cơ học: 95-97%
– Theo tiến triển:
+ Tắc ruột cấp tính và tắc ruột bán cấp
+ Tắc ruột hoàn toàn và tắc ruột không hoàn toàn
II. Nguyên nhân
1. Tắc ruột cơ năng
* Do liệt ruột
– Viêm phúc mạc
– Phản xạ (cơn đau quặn thận, quặn gan)
– Tổn thương thần kinh tủy sống (chấn thương cột sống, tủy sống )
– Máu tụ sau phúc mạc
– Nhiễm trùng máu
– Chuyển hóa (hạ natri máu)
– Sau phẫu thuật ổ bụng: Thời gian phục hồi thông thường ruột non: 0-24 giờ, dạ dày: 24-48 giờ, đại tràng: 48-72 giờ. Các yếu tố nguy cơ: khó khăn khi phẫu thuật, phẫu thuật kéo dài > 3 giờ, giảm nồng độ hematocrit, cần truyền máu, thiếu khả năng vận động sau phẫu.
* Do co thắt
– Tổn thương thần kinh
– Ngộ độc chì, Alcaloid
  NỘI DUNG WEB
» 422 Bài giảng chẩn đoán hình ảnh
» X-quang / Siêu âm / CT Scan / MRI
» 25.000 Hình ảnh case lâm sàng
  ĐỐI TƯỢNG
» Kỹ thuật viên CĐHA
» Sinh viên Y đa khoa
» Bác sĩ khối lâm sàng
» Bác sĩ chuyên khoa CĐHA
  Nội dung Bài giảng & Case lâm sàng thường xuyên được cập nhật !
  Đăng nhập Tài khoản để xem Nội dung Bài giảng & Case lâm sàng !!!
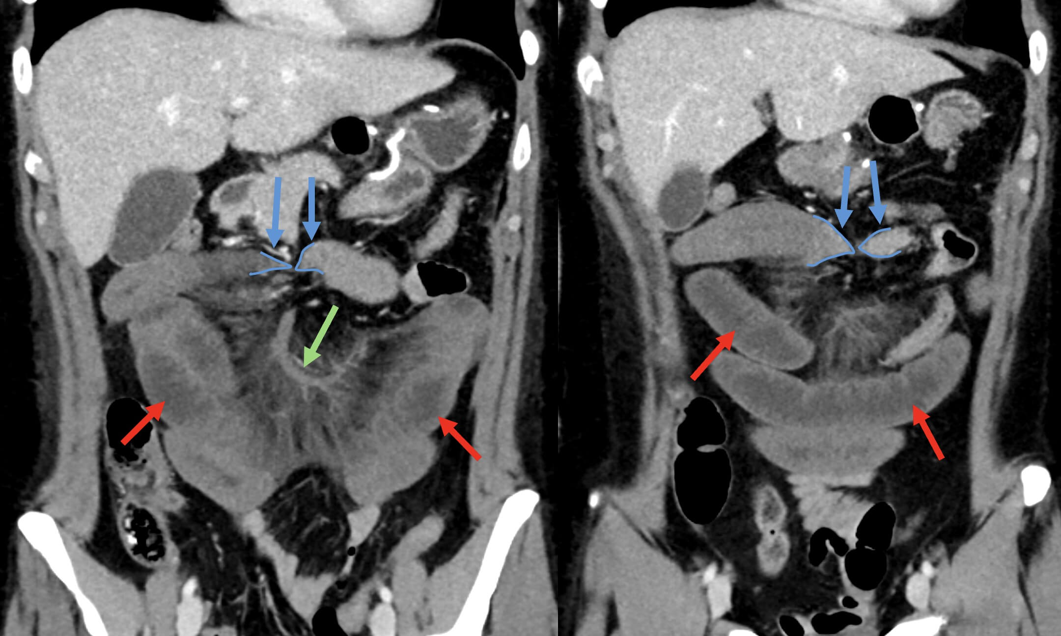
* Tắc ruột do bít (Obturation) * Tắc ruột do thắt (Strangulation): tắc lòng ruột + mạch máu mạc treo – Hình ảnh X-quang có thể bình thường trong tắc nghẽn sớm và tắc nghẽn đường tiêu hóa cao hoặc tắc tá tràng. Do đó, khi nghi ngờ lâm sàng về tắc nghẽn cao, nên chụp cắt lớp vi tính. – Trên phim chụp bụng tư thế đứng, nằm ngửa hoặc nghiêng trái (tia đi ngang): hình ảnh mức nước hơi (>2), dài hơn 2,5 cm và độ cao của các mức khí-dịch không bằng nhau trong cùng 1 quai ruột. => Case lâm sàng 1: => Case lâm sàng 2: – Mức độ tắc ruột có thể không quan sát thấy đầy đủ nếu các quai ruột giãn chủ yếu chứa đầy dịch => không quan sát thấy. – Quai ruột giãn với lượng hơi ít còn lại tích tụ dọc theo thành ruột tạo thành hình ảnh chuỗi tràng hạt (String of beads / String of Pearls) => Case lâm sàng 1: – Quai ruột giãn với lượng hơi ít, chứa dịch có thể biểu hiện 1 bóng mờ => “Dấu hiệu giả u”. – Các quai ruột non tắc nghẽn có thể tự sắp xếp theo cấu hình bậc thang từ góc trên bên trái đến góc phần tư phía dưới bên phải => Dấu hiệu bậc thang. – Mất hơi tại phần dưới chỗ tắc sau 12-48h. – Tắc ruột non: – Tắc đại tràng: – Tắc do dị vật cản quang: => Case lâm sàng 1: => Case lâm sàng 2: – Tắc ruột do sỏi mật (gallstone ileus): Có khí trong đường mật – tắc ruột non – sỏi mật lạc chỗ thường ở đoạn cuối hồi tràng. => Case lâm sàng 1: – Xoắn đại tràng Sigma: + Xoắn đại tràng Sigma xảy ra khi đại tràng sigma xoắn quanh trục mạc treo của nó. Thường gặp ở người già. + Dấu hiệu “hạt cà phê”: là hình dáng đại tràng sigma dãn giống hình hạt cà phê. Khi đại tràng sigma bị tắc dạng quai kín, hơi trong đại tràng gây ép thành hai quai ruột tạo dạng khe nứt như hạt cà phê, trong lúc thành bên của quai ruột giãn tạo thành bờ hạt cà phê. Xoắn ở đại tràng sigma có thể chiếm chỗ vùng chậu và có thể toàn bộ ổ bụng. Đỉnh của nó thường vượt qua đốt sống T10 và nằm bên trái hoặc phải đường giữa. + Dấu hiệu “tắc quai ruột đóng”: cho thấy đại tràng có hình ảnh quai kín hình dáng chữ U, do đại tràng bị dãn giữa hai điểm tắc ở vị trí xoắn. => Case lâm sàng 1: – Xoắn manh tràng: + Manh tràng giãn chứa đầy hơi > 9cm, thường nằm lạc chỗ ở phần tư trên trái hoặc bụng giữa. Tuy nhiên, điều quan trọng để ghi nhận ra rằng, manh tràng có thể bị đẩy lệch ở bất kỳ nơi nào trong ổ bụng. + Hố chậu phải có thể rỗng không thấy hình ảnh bóng manh tràng. => Case lâm sàng 1: – Giãn toàn bộ quai ruột non và đại tràng, không xác định vị trí tắc. – Giãn đơn độc một hoặc vài quai ruột do liệt ruột khu trú. => Case lâm sàng 1: viêm tụy hoại tử – Khẩu kính lòng ruột non giãn > 3cm, với ruột già > 5cm, lòng lòng ruột chứa dịch, hơi. => Videos tắc ruột: => Đánh giá tình trạng tổn thương ruột: – Dịch ổ bụng gia tăng nhanh và nhiều – Khí thành ruột trong trường hợp tắc nghẹt, giai đoạn muộn. – Giãn các quai ruột non và đại tràng cho đến trực tràng – Tiêu chuẩn tắc ruột: – Hình mức khí dịch trong lòng ruột. => Case lâm sàng 1: – Khi các dấu hiệu CT không rõ để chẩn đoán có tắc ruột có thể cho bệnh nhân uống thuốc cản quang. Chẩn đoán là tắc ruột hoàn toàn khi không thấy thuốc cản quang vượt qua điểm tắc sau chụp CT lại từ 3–24 giờ. – Tắc ruột hoàn toàn so với tắc không hoàn toàn có thể được xác định bằng mức độ xẹp ruột đoạn xa, giãn ruột đoạn gần và xuất hiện dấu hiệu “phân trong ruột non” khi không dùng cản quang đường uống. – Điểm chuyển tiếp (transition point) được xác định bằng cách nhận ra vị trí thay đổi khẩu kính giữa quai ruột đoạn gần bị giãn và quai ruột đoạn xa bị xẹp => Dấu hiệu mỏ chim “Beak sign”. => Case lâm sàng 1: => Case lâm sàng 2: => Case lâm sàng 3: => Case lâm sàng 4: – Tìm dấu hiệu phân trong ruột non vì nó luôn nằm gần điểm chuyển tiếp => xác định vị trí chuyển tiếp. + Xuất hiện trong tắc ruột khoảng 7-8%, thường xuất hiện ở những trường hợp tắc mức độ nhiều và trung bình. Được mô tả đầu tiên bởi Mayo-Smith và cộng sự năm 1995. => Case lâm sàng 1: => Case lâm sàng 2: => Case lâm sàng 3: => Phân biệt phytobezoar: => Case lâm sàng 1: => Case lâm sàng 2: * Tắc đơn giản => Case lâm sàng 1: => Case lâm sàng 2: => Case lâm sàng 3: * Tắc vòng kín (quai ruột đóng): – Hình thái tổn thương: – Dấu hiệu mỏ chim kép “Double beak sign”: xuất hiện 2 điểm chuyển tiếp. => Case lâm sàng 1: => Case lâm sàng 2: => Case lâm sàng 3: => Case lâm sàng 4: => Case lâm sàng 5: => Case lâm sàng 6: => Case lâm sàng 7: => Case lâm sàng 8: – Tùy theo mức độ giãn, chiều dài và hướng của quai ruột bị tắc vòng kín sẽ có hình ảnh khác nhau: + Dạng “vành tia”: hướng tâm về điểm bị tắc nếu đoạn ruột nghẹt quá dài. – Dấu hiệu xoáy nước “Whirl sign”: xoắn của tổ chức mỡ và mạch mạc treo theo hình xoáy trôn ốc. => Case lâm sàng 1: => Case lâm sàng 2: – Kết hợp chụp lưu thông ruột non: thuốc cản quang thường không đi vào quai ruột tắc vòng kín. – Trước khi tìm nguyên nhân của tắc ruột non thì điều chủ chốt là phải loại trừ tắc đại tràng bởi vì nguyên nhân, triệu chứng và điều trị của nó khác với tắc ruột non. Xem thêm các bài riêng: * Tắc ruột dính (fibrous adhesions): => Case lâm sàng 1: * Khối u ống tiêu hóa: quai ruột giãn tới vị trí chuyển tiếp, thành ruột dày không đều, lệch tâm, thường trên 1 đoạn ruột ngắn, ngấm thuốc sau tiêm. => Case lâm sàng 1: u đại tràng lên * Xoắn ruột (xoắn ruột non, xoắn đại tràng sigma, xoắn manh tràng): * Thoát vị (thoát vị thành bụng & thoát vị nội) * Bệnh Crohn * Lạc nội mạc tử cung * Bã thức ăn (Bezoars) * Lồng ruột * Viêm loét đại tràng: * Tắc ruột do sỏi mật: – Sỏi mật gây tắc ruột là một biến chứng bất thường của sỏi mật, đặc biệt ảnh hưởng đến bệnh nhân lớn tuổi với tỷ lệ bệnh tật và tử vong cao. Nó được gây ra bởi sự tắc nghẽn ruột do một hay nhiều sỏi mật qua một lỗ rò mật-ruột. => Case lâm sàng 1: => Case lâm sàng 2: => Case lâm sàng 3: => Case lâm sàng 4: => Case lâm sàng 5: => Case lâm sàng 6: => Case lâm sàng 7: * Giai đoạn I: => Case lâm sàng 1: => Case lâm sàng 2: => Case lâm sàng 3: * Giai đoạn II: * Giai đoạn III: => Case lâm sàng 1: => Case lâm sàng 2: * Giai đoạn IV: => Case lâm sàng: => Case lâm sàng 1:2. Tắc ruột cơ học
– Lòng ruột bị bít bởi những vật lạ
+ Búi giun: hay gặp ở trẻ em 3-8 tuổi.
+ Bã thức ăn
+ Phân su: nước ngoài gặp 15-18% tắc ruột sơ sinh. Việt Nam gặp ít hơn.
+ Người già: táo bón kéo dài
+ Tắc ruột sỏi mật: sỏi túi mật gây viêm thủng túi mật vào tá tràng, sỏi di chuyển xuống gây tắc đoạn cuối hồi tràng.
– Lòng ruột bị bít bởi tổn thương thành ruột
+ Teo ruột, ruột đôi, màng ngăn ở trẻ sơ sinh.
+ Viêm ruột trong bệnh Crohn.
+ Lao hồi manh tràng
+ Sẹo xơ
+ U lành tính hoặc ác tính
+ Hẹp miệng nối
– Lòng ruột bị bít do bên ngoài đè ép: U sau phúc mạc, u xơ tử cung, u nang buồng trứng, u mạc treo…
– Xoắn ruột: xoắn ruột non, xoắn đại tràng sigma, xoắn manh tràng.
– Thoát vị nghẹt: thoát vị thành bụng (bẹn, đùi, rốn) và thoát vị nội.
– Lồng ruột
– Dây chằngIII. Chẩn đoán x-quang
1. Tắc ruột cơ học
* Dấu hiệu tắc ruột
– Phim chụp bụng thẳng (tư thế đứng hoặc nằm): giãn ống tiêu hóa phần trên chỗ tắc: thường gây giãn khoảng 3-8h sau tắc, khẩu kính lòng ruột tăng lên. Ruột non > 3cm, đại tràng > 6cm, manh tràng > 9cm.
– Dấu hiệu mức nước hơi thường xuất hiện sau 12-24h tắc.* Xác định vị trí tắc
+ Vị trí mức nước hơi nằm ở trung tâm ổ bụng
+ Niêm mạc chạy ngang hết lòng ruột, kích thước nhỏ, gần nhau
+ Chân đế rộng, vòm thấp
+ Khẩu kính 3-5cm
+ Số lượng mức nước hơi nhiều
+ Phân đặc: không có
+ Nếu tắc ruột non thấp nhiều quai ruột giãn => nhiều mức nước hơi xếp theo hình bậc thang từ hố chậu phải tới mạn sườn trái
+ Nằm ở ngoại vi theo khung đại tràng, vùng chậu
+ Chạy ngang một phần, kích thước lớn, nằm xa hơn
+ Chân đế hẹp, vòm cao
+ Khẩu kính > 6cm
+ Số lượng ít
+ Phân đặc: có
+ Tùy mức độ mở đóng van hồi manh tràng mà ruột non có giãn hay không* Nguyên nhân
+ Quai ruột giãn lớn chứa đầy hơi ở đại tràng sigma, làm mất các ngấn đại tràng, xuất phát từ vùng chậu và lan xa lên trên ở mức đại tràng ngang (dấu hiệu “hướng bắc – Northern Exposure Sign”). Bình thường đại tràng sigma nằm ở khoang dưới mạc treo đại tràng ngang. Khi đỉnh của đại tràng sigma nằm ở phía trên đại tràng ngang => xoắn.2. Tắc ruột cơ năng
– Tắc ruột cơ năng tất cả các quai ruột đều giãn khác với tắc cơ học giãn phần trên chỗ tắc và mất hơi phần dưới.
– Giai đoạn muộn có thể thấy hình ảnh mức nước hơi. Trong tắc cơ năng mức nước hơi trên cùng quai ruột thường nằm ngang nhau, tắc cơ học thường nằm trên hai mức kháu nhau (giá trị tương đối).3. Liệt ruột khu trú
– Có thể có mức nước hơi.
– Quai ruột giãn này còn gọi là quai canh gác (Sentinel loop), là dấu hiệu chỉ điểm quá trình viêm nhiễm cấp tính lân cận.
– Hỗng tràng hay đại tràng ngang thường giãn trong viêm tụy cấp, đại tràng góc gan giãn trong viêm túi mật, đoạn cuối hồi tràng giãn trong viêm ruột thừa.IV. Chẩn đoán siêu âm
* Giải phẫu siêu âm
[gallery link="file" ids="174075,174076,72684"]* Tắc ruột cơ học
– Thấy rõ các nếp niêm mạc trong giãn hỗng tràng => “Keyboard sign”
– Dịch xen kẽ giữa các quai ruột. “Tanga sign”: dịch tự do hình tam giác xen kẽ các quai ruột.
– Tăng nhu động đoạn ruột trên vị trí tắc: chuyển động tới lui và chuyển động cuộn xoáy của dịch trong ruột. Tình trạng này xảy ra từng hồi, thường ở giai đoạn đầu.
– Hiện diện đoạn ruột mất hoàn toàn nhu động.
– Phù nề thành ruột
– Doppler đánh giá tình trạng thiếu máu nuôi ruột: giảm hoặc mất dòng chảy động mạch trong mạc treo và trên thành ruột.* Tắc ruột cơ năng
– Giãn mức độ nhẹ, lòng ruột chứa dịch và hơi
– Không thấy biểu hiện nhu động ruộtV. Chẩn đoán CLVT
1. Có tắc ruột không ?
+ Quai ruột giãn: đường kính > 3cm với ruột non, > 5cm với đại tràng, > 9cm với manh tràng (đo từ thành ngoài tới thành ngoài đối diện) ở đoạn gần vị trí chuyển tiếp.
+ Đường kính ruột non > 2.5cm cần theo dõi đánh giá tắc quai ruột đóng.
+ Các quai ruột dưới chỗ tắc có đường kính bình thường hoặc xẹp.
+ Ứ đọng bã thức ăn trong ruột non.2. Mức độ tắc ruột ?
– Tắc ruột không hoàn toàn là khi dùng thuốc cản quang đường uống, chất cản quang vượt qua điểm chuyển tiếp vào các quai ruột xẹp.
– Trong tắc ruột hoàn toàn, đường kính của quai ruột giãn đoạn gần lớn hơn đường kính quai ruột xẹp ở đoạn xa 50%. Ngoài ra, chênh lệch khẩu kính giữa đoạn gần và đoạn xa càng nổi rõ sau tắc một vài ngày do các thành phần trong lòng ruột ở đoạn xa được tống ra ngoài.3. Vị trí chuyển tiếp
– Dấu hiệu phân trong ruột non (Small Bowel Feces Sign):
+ Sự hiện diện của bã thức ăn xen lẫn với hơi trong ruột ở lòng ruột non. Những hạt không đồng nhất lẫn với các bóng hơi nhỏ trong lòng ruột non trông giống như phân trong đại tràng. Thường kéo dài trên 1 đoạn từ 4-200cm.
+ Đó là hậu quả của sự vận chuyển chậm bất thường các chất trong lòng ruột, bao gồm thành phần thức ăn tiêu hóa chưa hết, vi khuẩn tăng sinh, hoặc tăng hấp thụ nước ở ruột non đoạn xa do tắc ruột.
+ Dấu hiệu này thường gặp hơn ở vị trí các quai ruột xa.
+ Dấu hiệu này thường thấy ở vị trí ngay trước chỗ tắc nên sẽ giúp xác định vị trí chuyển tiếp. Hầu hết các trường hợp là tắc ruột do dính.
+ Dấu hiệu phân bị mắc kẹt “Trapped feces sign”: biểu hiện hình ảnh bã thức ăn nằm trong quai ruột đóng (tắc 2 đầu).
+ Vị trí tắc nghẽn ở phần xa ruột non.
+ Hình trứng hoặc hình tròn.
+ Thường có ranh giới rõ, có thể có vỏ bao.
+ Thường khu trú hơn, chiều dài < 10cm.
+ Không có thâm nhiễm mỡ mạc treo ruột.
+ Các mảnh vụn tỷ trọng mỡ trôi nổi trong lòng ruột bị giãn, gần vị trí tắc nghẽn. Tỷ trọng ~ – 50 / -150 HU. Tỷ trọng của các mảnh vụn có thể là kết quả của tổng mật độ mô của các mảnh vụn và mật độ rất âm của không khí mà nó bị giữ lại.4. Phân loại tắc ruột
– Là ruột bị tắc ở một hoặc vài điểm dọc theo chiều dài của nó. Phần trên chỗ tắc giãn ít hoặc nhiều phụ thuộc mức độ tắc và thời gian tiến triển.
– Khi quai ruột có hai điểm tắc, vị trí chuyển tiếp có thể nằm xa nhau hoặc nằm sát nhau tạo thành một vòng khép kín => Do bị kẹt cả đầu vào và đầu ra, dòng máu đến và đi bị cản trở, dẫn đến nguy cơ thiếu máu ruột và hoại tử.
– Nguyên nhân thường gặp: do dính, xoắn ruột hoặc thoát vị nội. Nguy cơ nghẹt và nhồi máu ruột rất cao với tỷ lệ tử vong là 10-35%.
+ Quai ruột tới và vòng ruột xoắn giãn, quai ruột đi xẹp.
+ Quai ruột tới giãn, vòng ruột xoắn xẹp, quai ruột đi xẹp.
+ Quai ruột tới và quai đi đều xẹp, vòng ruột xoắn giãn.
+ Dạng chữ “U” hoặc chữ “C”: nếu quai ruột đóng cùng trên một mặt phẳng. Tái tạo theo nhiều mặt phẳng giúp phát hiện quai ruột đóng tốt hơn.5. Nguyên nhân
– Nguyên nhân thường nằm ở vị trí chuyển tiếp quai ruột tắc và quai ruột xẹp.
– Phần lớn các tổn thương tại thành ruột được thấy ở điểm chuyển tiếp và biểu hiện dưới dạng dày khu trú thành ruột.
– Phần lớn các nguyên nhân bên ngoài được phát hiện ra ở gần điểm chuyển tiếp và thường có các biểu hiện ngoài ruột.
– Dải mô xơ gây dính, là nguyên nhân phổ biến nhất gây tắc ruột non ở các nước đang phát triển (50-80%), thường gặp ở những bệnh nhân có tiền sử phẫu thuật ổ bụng. Một số ít trường hợp là do bệnh sử có tình trạng viêm phúc mạc.
– Tắc ruột do dính rất khó quan sát trên CT, tuy nhiên CT là một phương thức chẩn đoán có giá trị trong việc phát hiện các biến chứng liên quan đến dính như tắc ruột hoặc thiếu máu mạc treo ruột .
– Hình ảnh quai ruột giãn đột ngột giảm khẩu kính tại vị trí tắc mà không tìm thấy nguyên nhân khác (khối u thành ruột, dày thành ruột do viêm…).
– Xoắn ruột được định nghĩa là sự xoắn hoàn toàn của một quai ruột xung quanh mạc treo của nó.
– Thường gặp xoắn đại tràng sigma, xoắn ruột non, xoắn manh tràng.
– Quai ruột thường giãn lớn bất thường, dấu hiệu tắc quai ruột đóng.
– Dấu hiệu xoáy nước “Whirlpool sign”: tại vị cuống xoắn, mạc treo và mạch mạc treo quấn hình xoáy trôn ốc.
– Thoát vị thành bụng:
+ Sự di chuyển của các tạng từ trong ổ bụng (thường là ruột non và mạc treo) ra phía ngoài thành bụng, qua một chỗ yếu của thành bụng. Chỗ yếu của thành bụng là nơi mà thành bụng không có lớp cơ chỉ có lớp cân hay mạc che phủ.
+ Bao gồm: thoát vị thành bụng trước, thoát vị thắt lưng, thoát vị bẹn đùi, thoát vị vùng chậu, thoát vị đường mổ.
– Thoát vị nội:
+ Sự di chuyển bất thường các tạng trong ổ bụng qua các khe hở tự nhiên hoặc khiếm khuyết của phúc mạc hoặc mạc nối.
+ Thoát vị nội là một nguyên nhân hiếm gặp trong tắc ruột non (0,2-0,9%).
+ Nguyên nhân có thể nguyên phát hay thứ phát.
+ Thoát vị nội có thể qua các lỗ tự nhiên như lỗ Winslow hoặc những lỗ bất thường như thoát vị nội cạnh tá tràng. Thoát vị thứ phát xảy ra do một khiếm khuyết của mạc treo hậu phẫu.
+ Hầu hết các trường hợp thoát vị có dạng hình túi.
+ Hình ảnh 1 số quai ruột giãn khu trú, thường hình túi.
+ Dấu hiệu tắc quai ruột đóng.
+ 2 điểm chuyển tiếp thường nằm sát nhau.
+ Sự dịch chuyển bất thường các cấu trúc mạch máu.
+ Biến chứng sớm: phù mạc treo ruột, thành ruột phù nề, ngấm thuốc kém sau tiêm.
– Dày thành ruột, thường ngấm thuốc đồng nhất sau tiêm. Thành ruột dày > 15mm là không điển hình đối với bệnh Crohn và nên nghi ngờ có khối u, đặc biệt nếu thành ruột dày không đối xứng.
– Độ dày thành ruột nên được đánh giá và đo ở đoạn ruột căng do dịch hoặc chất cản quang trong ruột.
– Thành dày trong viêm loét đại tràng thường lan tỏa và đối xứng, trong khi dày thành trong bệnh Crohn có thể không đều, không đối xứng và cách đoạn với các đoạn thành ruột bình thường
– Bezoars là tập hợp các chất hữu cơ lẫn vô cơ ko tiêu hoá bị mắc lại ở dạ dày thậm chí ruột non hoặc có thể ở ruột già.
– Khối khu trú thường giới hạn rõ, có vỏ bao bọc, bên trong chữa bã thức ăn + bóng khí.
– Phù nề niêm mạc và dày thành ruột có thể thấy khi bezoar ở tá tràng, hỗng tràng.
– Sau tiêm không ngấm thuốc cản quang.
– Lồng ruột là một cấp cứu bụng ngoại khoa thường gặp, do một đoạn ruột chui vào lòng của đoạn ruột kế cận, là nguyên nhân của tắc ruột cơ học mà cơ chế vừa do bít vừa do thắt.
– Lồng ruột có thể gặp ở bất cứ lứa tuổi nào, nhưng thường gặp ở trẻ dưới 2 tuổi (chiếm tới 80% các trường hợp lồng ruột).
– Nguyên nhân:
+ Trẻ em: 90% là vô căn, có thể liên quan liên quan đến hạch bạch huyết phì đại sau nhiễm trùng.
+ Người lớn: thường gặp u ác tính ở ruột già và lành tính ở ruột non.
– Đặc điểm hình ảnh:
+ Cấu trúc ống tiêu hóa lồng vào nhau tạo hình ảnh bia bắn và bán Sanwich tương tự trên siêu âm.
+ Tỷ trọng mỡ mạc treo và mạch mạc treo trong khối lồng.
– Hầu hết các sỏi mật có vị trí bất thường ảnh hưởng đến hồi tràng, là phần hẹp nhất của ruột. Trong khi sỏi mật gây tắc ruột chỉ chiếm tỷ lệ 1-4% của tất cả các trường hợp tắc ruột cơ học thì nó gây đến 25% tắc ruột non ở những bệnh nhân trên 65 tuổi. Vì vậy, tắc ruột sỏi mật nên được ưu tiên chẩn đoán phân biệt khi đánh giá một người ở độ tuổi đó với tắc nghẽn đường ruột.
– Đặc điểm hình ảnh:
+ Hình ảnh túi mật ranh giới không rõ, mất liên tục thành túi mật – đường rò tá tràng, khí trong túi mật – đường mật, hình ảnh sỏi mật chèn ép lòng ruột và làm giãn các quai ruột phía trên trên.
+ Bộ ba dấu hiệu Rigler: khí đường mật – sỏi lạc chỗ trong lòng ruột – tắc ruột.VI. Biến chứng nghẹt
– Do áp suất thấp của dòng chảy, hệ thống tĩnh mạch bị ảnh hưởng sớm hơn hệ thống động mạch, dẫn đến phù nề thành ruột và mạc treo ở quai ruột nghẹt. Ở giai đoạn I áp lực động mạch đủ cao để đưa dòng màu qua vị trí thắt nghẹt.
– Thành ruột dày lên “Dấu hiệu hình bia – target sign” do lớp dưới niêm bị phù nề.
– Thành ruột dày, ngấm thuốc tốt ở cả thì động mạch và thì muộn.
– Có thể quan sát thấy hiện tượng ngấm thuốc kéo dài nếu quét pha chậm do tắc nghẽn tĩnh mạch.
– Phù nề tiến triển hoặc mức độ thắt nghẹt trở nên chặt hơn, nguồn cung cấp động mạch trở nên chậm hơn và giảm đi => quai ruột thiếu máu cục bộ.
– Quai ruột ngấm thuốc kém hoặc không ngấm thuốc ở tất cả hoặc 1 phần ghi nhận trên thì động mạch. Ở thì muộn, quai ruột vẫn ngấm thuốc.
– Thành ruột dày, phù nề mạc treo ruột.
– Không thể phân biệt giai đoạn II với giai đoạn I nếu không có thì động mạch vì quai ruột vẫn ngấm thuốc ở thì muộn.
– Bệnh nhân cần được phẫu thuật sớm để cứu quai ruột bị ảnh hưởng trước khi hoại tử.
– Phù nề tiến triển hoặc vị trí thắt nghẹt trở nên chặt hơn nữa, dòng chảy động mạch không thể đi qua vị trí thắt nghẹt => quai ruột sẽ bị hoại tử rất sớm.
– Quai ruột nghẹt ngấm thuốc rất kém hoặc không ngấm thuốc ở tất cả hoặc 1 phần được ghi nhận trên cả thì động mạch và thì muộn.
– Nếu quai ruột nghẹt không ngấm thuốc hoặc ngấm rất kém chỉ 1 phần của quai ruột => can thiệp phẫu thuật khẩn cấp có thể cứu được phần còn lại.
– Hoại tử ruột với tụ máu thành ruột do hoại tử xuất huyết. Thành ruột tăng tỷ trọng trước tiêm => quan sát rõ trên cửa sổ hẹp.
– Xuất hiện khí thành ruột, khí mạch mạc treo, khí tự do ổ bụng do thủng ruột.
– Quai ruột nghẹt không ngấm thuốc được ghi nhận trên cả thì động mạch và thì muộn. Tuy nhiên khó đánh giá tính chất ngấm thuốc của quai ruột nghẹt do xuất huyết thành ruột (tăng tỷ trọng tự nhiên trước tiêm).
Tài liệu tham khảo
* Small Bowel Obstruction: What to Look For – Ana Catarina Silva
* CT Evaluation of Small Bowel Obstruction – Mourad Boudiaf, MD, Philippe Soyer, MD, PhD
* Obstructive Gallstone Ileus: A Guide for the Radiology Trainee – D. Garbera, A. Barakat, P. Close
* Gallstone ileus: key points every radiologist should know – J. P. Zawaideh, S. Banderali, L. Bacigalupo
* Gallstone ileus: An uncommon cause of mechanical obstruction – A. Azagra de Miguel, B. Carro, E. M. Lacoma
* CT of small bowel obstruction – everything a radiologist needs to know – P. F. M. Azevedo, J. C. Ruivo Rodrigues, B. M. Torres Rodrigues
* Diagnosis and causes of bowel obstruction: What does the surgeon need to know? – I. alonso diego, C. Santos Montón, S. Gallego García
* In&out. Small bowel obstruction. Pictorial review of imaging findings – E. Diez, N. Arevalo, A. Munoz Hernandez, E. Roa, E. Barcina García; Madrid/ES
* MDCT imaging of the small bowel obstruction: Beyond the search for the point of intestinal occlusion – Effectiveness of signs and criteria for diagnosis in emergency – S. Romano, C. Stavolo, S. Merola, L. Romano; Naples/IT
* Small-bowel Obstruction – the imaging contribute – S. C. S. Silva, S. Dutra, D. Garrido, D. N. Silva, I. C. S. P. Basto; Ponta Delgada/PT
* Large bowel obstruction: from suspicion to diagnosis – P. M. G. Alves, R. Monteiro, M. D. Claudino
* Imaging of large bowel obstruction: etiology, complications and pitfalls – C. GÓMEZ VARELA, I. Couto Rodriguez, C. Caamaño Romero
* Novel CT staging for bowel strangulation with radio-surgical correlation – F. Sato
* Radiology Illustrated Hepatobiliary and Pancreatic Radiology – Byung Ihn Choi
* The String of Pearls Sign – Logan K. Burgess, James T. Lee
* Emergency Radiology The Requisites – Jorge A. Soto and Brian C. Lucey
* Small Bowel Bezoar Versus Small Bowel Feces: CT Evaluation – Eric Delabrousse
* Small Bowel Obstruction: what a resident radiologist needs to know – F. R. Carvalho, L. R. Martins, C. Mota, I. Matos, F. M. Antunes, L. Batista
* Bowel Obstruction in the Adult: A pictorial review of radiological diagnosis and etiology – D. R. Vinha, L. Rosa, A. I. Coutinho Santos
* Clinical Relevance of the Feces Sign in Small-Bowel Obstruction Due to Adhesions Depends on Its Location – Wassef Khaled, Ingrid Millet, Lucie Corno, Isabelle Bouley-Coletta
* Small Bowel Obstruction – Charles P. Mullan, Bettina Siewert, and Ronald L. Eisenberg























# Cập nhật nội dung bài viết & Case lâm sàng 28/8/2024
# Cập nhật nội dung bài viết & Case lâm sàng 28/6/2024
# Cập nhật nội dung bài viết & Case lâm sàng 10/6/2024
# Cập nhật nội dung bài viết & Case lâm sàng 2/6/2024