U xương sụn (Osteochondroma) là sự quá phát của xương và sụn ở gần các đầu xương, gần với sụn phát triển của xương( sụn tiếp). Sự quá phát này có thể gặp ở bất cứ xương nào có bản sụn phát triển như xương dài( xương đùi, xương chầy, xương cánh tay và các xương cẳng tay), xương chậu hoặc xương bả vai…
BỆNH LÝ XƯƠNG KHỚP

Sarcoma Xương | Bài giảng CĐHA *
Sarcoma xương (Osteosarcoma) là u ác tính thường gặp nhất, tỷ lệ gặp 0.25/100.000 dân một năm. Nó thường gặp ở hành xương của phần đầu dưới xương đùi, đầu trên xương chày, đầu trên xương cánh tay, xương chậu, và đầu trên xương đùi theo thứ tự tần số gặp . Phần lớn bệnh nhân ở tuổi thanh niên, nam gặp nhiều hơn với tỷ lệ 3/2…
U Nguyên Bào Xương | Bài giảng CĐHA *
U nguyên bào xương (Osteoblastome): hiếm gặp, thường thấy ở cột sống, các xương lớn, dài của đầu chi. Tuổi thường gặp : 6-30 (16-19T). Vị trí tổn thương: thân xương (58%), hành xương (42%) ở xương dài, thành phần sau ở xương sống (62-94%)…
U Xương Dạng Xương | Bài giảng CĐHA *
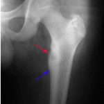
U xương dạng xương (Osteoid osteoma) là một tổn thương xương lành tính. Đó là một ổ nhỏ (nidus) bao quanh là vùng xơ cứng phản ứng có kích thước rất nhỏ khoảng từ 1,5-2cm, xuất hiện chủ yếu tại các thân xương dài của chi dưới (80-90%).Chiếm 10% tất cả các khối u xương lành tính và chiếm 5% trong tổng số các loại u xương nguyên phát….
Gout | Bài giảng CĐHA *
Bệnh gút (Gout) là bệnh viêm khớp do vi tinh thể, đặc trưng bởi những đợt viêm khớp cấp tái phát, có lắng đọng tinh thể muối urat natri trong các mô, gây ra do tăng acid uric trong máu. Đây là bệnh do rối loạn chuyển hóa nhân purin, thuộc nhóm bệnh rối loạn chuyển hóa…




