Lao xương khớp là bệnh toàn thân, biểu hiện tổn thương lao khu trú ở xương khớp. Bệnh lao thứ phát, thông thường từ lao phổi hoặc lao hạch…vào máu và trực khuẩn lao tới xương. Lao xương thường gặp ở các xương xốp: thân đốt sống, xương tụ cốt bàn tay, bàn chân. Lao khớp thường gặp ở khớp hông, khớp gối, khớp cổ chân, cổ tay…
BỆNH LÝ XƯƠNG KHỚP

Nang Xương Phình Mạch | Bài giảng CĐHA *
Nang xương phình mạch (Aneurysmal Bone Cyst – ABC) là tổn thương u lành tính nhưng có tính chất phá hủy xương nhiều, thường xuất hiện tại đầu các xương dài và cột sống ở trẻ vị thành niên (10-19 tuổi). ABC rất hiếm gặp (chiếm khoảng 1% các u xương nguyên phát), lành tính, đặc trưng bởi xu hướng phát triển “phình” ra của các hồ máu chứa trong các nang xương với thành xương rất mỏng xuất hiện ở trẻ vị thành niên. Khoảng 22% ABC xuất hiện tại cột sống, 21% tại xương cùng, còn lại ở đầu các xương dài…
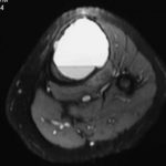
Nang Xương | Bài giảng CĐHA *
Nang xương đơn độc (Solitary bone cyst – SBC) là tổn thương lành tính ở xương có thể gặp ở mọi lứa tuổi, chủ yếu là trẻ em trong độ tuổi từ 5-15 tuổi, tỷ lệ nam mắc bệnh nhiều hơn so với nữ giới. Tổn thương khuyết xương, lớp vỏ xương thường mỏng, không có phản ứng màng xương, thường có dấu hiệu gãy xương bệnh lý…
Sarcoma Sụn | Bài giảng CĐHA *
Sarcoma sụn (Chondrosarcoma) là khối u xương phổ biến thứ 2 và chiếm khoảng 25% trong tổng số các trường hợp u xương ác tính. Những khối u này xuất hiện nhiều ở những tế bào sụn và có thể phát triển nhanh hoặc phát triển chậm. Tuy vậy, không giống như những khối u xương khác, sarcoma sụn lại phổ biến ở những người trên 40 tuổi. Bệnh này khá phổ biến ở nam giới, dễ lây lan đến các hạch bạch huyết và phổi. Sarcoma sụn ảnh hưởng nhiều nhất là ở xương chậu và xương hông….
U Nguyên Bào Sụn | Bài giảng CĐHA *
U nguyên bào sụn (Chondroblastoma) là tổn thương hiếm gặp và thường xảy ra ở sụn trong giai đoạn đang hoàn tất quá trình phát triển. Có đến 90% các ca bệnh u nguyên bào sụn gặp ở những người 5 – 25 tuổi, nam giới có nguy cơ mắc phải bệnh này cao gấp đôi so với nữ giới. U nguyên bào sụn hay gặp ở vùng sụn phát triển ở đầu trên xương cánh tay và xung quanh gối, triệu chứng chủ yếu là đau lan vào khớp, có thể gây sưng nề tại chỗ và hạn chế vận động của những khớp liên quan…




