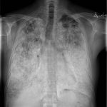
* Giải phẫu X-quang Ngực – Bụng: Tim phổi – Ổ bụng.
Giải Phẫu CT Sọ Não | Bài giảng CĐHA
Giải phẫu cắt lớp vi tính sọ não:
– Giải phẫu thùy não.
– Giải phẫu nhân xám trung ương.
– Giải phẫu não thất.
– Bể não và khoang dưới nhện.
– Giải phẫu động mạch, tĩnh mạch não.
– Giải phẫu lát cắt Axial sọ não.
Vi Sỏi Phế Nang | Bài giảng CĐHA
Vi sỏi phế nang (Pulmonary alveolar microlithiasis – PAM) là bệnh hiếm gặp, đặc trưng bởi vô vố nốt ngấm vôi trong lòng phế nang. Bệnh gặp ở nhóm tuổi 4-9 ở Nhật và 30-50 ở phương Tây. Bệnh nguyên và bệnh sinh không rõ. Giả thuyết cho rằng do rối loạn chuyển hóa, phản ứng miễn dịch, bất thường về chuyển hóa calci, phospho…
Hạch Trung Thất | Bài giảng CĐHA
* Nhóm 1: hạch cổ thấp, thượng đòn, hõm ức
– Bên phải và bên trái khí quản
– Giới hạn trên: bờ dưới sụn thanh quản
– Giới hạn dưới: xương đòn và bờ trên cán xương ức…
Atlas Giải Phẫu Ổ Bụng (Netter) | Bài giảng CĐHA
Ấn bản lần thứ sáu của cuốn Atlas giải phẫu người mới nhất của Frank H.Netter đã được cập nhật bởi đội ngũ cố vấn biên tập của Jenifier K.Brueckner, Stephen W. Carmichiael, Thomas R.Gest, Noelle A.Granger, John T.Hansen và Anil H.Walji. Trong cuốn sách này những hình ảnh X-quang, hình ảnh chụp cắt lớp điện toán, cộng hưởng từ được bổ sung, điều đó phản ảnh tầm quan trọng của hình ảnh học chẩn đoán đối với giải phẫu lâm sàng và y học…




