I. Giải phẫu x-quang
  NỘI DUNG WEB
» 422 Bài giảng chẩn đoán hình ảnh
» X-quang / Siêu âm / CT Scan / MRI
» 25.000 Hình ảnh case lâm sàng
  ĐỐI TƯỢNG
» Kỹ thuật viên CĐHA
» Sinh viên Y đa khoa
» Bác sĩ khối lâm sàng
» Bác sĩ chuyên khoa CĐHA
  Nội dung Bài giảng & Case lâm sàng thường xuyên được cập nhật !
  Đăng nhập Tài khoản để xem Nội dung Bài giảng & Case lâm sàng !!!
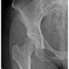
Chú thích: 1. Mào chậu; 2. Hố chỏm đùi; 3. Gai chậu trước dưới; 4. Thân xương mu; 5. Ngành dưới xương mu; 6. Khớp cùng chậu; 7. Lỗ bịt; 8. Ụ ngồi; 9. Ngành xương ngồi; 11. Gai ngồi; 12. Ổ cối; 13. Vành trước ổ cối; 14. Đường chậu ngồi; 15. Cổ xương đùi; 16. Mấu chuyển nhỏ; 17. Đường gian mấu; 18. Cánh xương cùng; 19. Gai chậu trước trên; 20. Đường cung; 21. Thân xương đùi; 22. Mào xương cùng; 23. Xương cụt; 24-25-28. Khớp háng; 26. Gai chậu sau trên; 27. Chỏm xương đùi; 29. Khớp mu; 30. Mỡ bao khớp; 31. Ngành trên xương mu; 32. Mỡ cơ mông; 33. Mấu chuyển lớn; 34. Đường mỡ cơ thắt lưng chậu; 35. Hơi trong ruột non; 36. Bàng quang; 37. Cơ mông; 38. Vôi hóa mạch máu; 39. Gai sau L4; 40. Xương cánh chậu; 41. Gai sau L5; 42. Koehler’s teardrop; 43. Vành sau ổ cối; 44. Lỗ cùng. Chú thích: 1. Mào chậu; 2. Hố chỏm đùi; 3. Gai chậu trước dưới; 4. Thân xương mu; 5. Ngành dưới xương mu; 6. Khớp cùng chậu; 7. Lỗ bịt; 8. Ụ ngồi; 9. Ngành xương ngồi; 11. Gai ngồi; 12. Ổ cối; 13. Vành trước ổ cối; 14. Đường chậu ngồi; 15. Cổ xương đùi; 16. Mấu chuyển nhỏ; 17. Đường gian mấu; 18. Cánh xương cùng; 19. Gai chậu trước trên; 20. Đường cung; 21. Thân xương đùi; 22. Mào xương cùng; 23. Xương cụt; 24-25-28. Khớp háng; 26. Gai chậu sau trên; 27. Chỏm xương đùi; 29. Khớp mu; 30. Mỡ bao khớp; 31. Ngành trên xương mu; 32. Mỡ cơ mông; 33. Mấu chuyển lớn; 34. Đường mỡ cơ thắt lưng chậu; 35. Hơi trong ruột non; 36. Bàng quang; 37. Cơ mông; 38. Vôi hóa mạch máu; 39. Gai sau L4; 40. Xương cánh chậu; 41. Gai sau L5; 42. Koehler’s teardrop; 43. Vành sau ổ cối; 44. Lỗ cùng. – Gãy chỏm xương đùi còn được gọi là gãy trật khớp chỏm xương đùi, là những chấn thương hiếm gặp, đại diện cho loại gãy xương đầu gần xương đùi ít phổ biến nhất và hầu hết các trường hợp liên quan đến trật khớp háng. Có tới 15% tất cả các trường hợp trật khớp háng ra sau liên quan đến gãy chỏm xương đùi. – Loại I: gãy xương kéo dài xuống dưới/đuôi của hõm chỏm xương đùi – Mảnh vỡ chỏm xương đùi bị di lệch. => Case lâm sàng 1: – Gãy cổ xương đùi (NOF) là những chấn thương phổ biến ở bệnh nhân lớn tuổi, những người có khả năng bị mất thăng bằng khi đi lại và giảm mật độ xương, dẫn đến nguy cơ gãy xương. Phụ nữ cao tuổi bị loãng xương có nguy cơ cao nhất. – Nguyên nhân: * Đường gãy (Linton): Dựa vào vị trí đường gãy cổ xương đùi * Độ chếch đường gãy: * Loại gãy (Garden – dựa vào sự di lệch của ổ gãy) => Case lâm sàng: * Nguy cơ hoại tử vô mạch – Phần lớn nguồn cung cấp máu cho chỏm xương đùi được thực hiện bởi vòng động mạch ngoài bao, được hình thành bởi động mạch mũ đùi ngoài và động mạch mũ đùi trong. – Gián đoạn đường Shenton: – Bình thường các bè xương vùng cổ xương đùi đều và liên tục. Nếu mất liên tục và gập góc các bè xương => nghi ngờ gãy xương. – Mấu chuyển bé bên xương gãy rõ hơn bên đối diện do xương đùi bên gãy xoay ngoài. – Đường sáng mất liên tục vỏ xương. – Cổ xương đùi ngắn, mất cân đối chỏm – cổ xương đùi so với bên đối diện. – Gãy mấu chuyển là gãy xương liên quan đến mấu chuyển lớn và/hoặc mấu chuyển bé của xương đùi. – Gãy liên mấu chuyển: – Trật khớp háng là sự di lệch hoàn toàn hay không hoàn toàn mặt khớp của chỏm xương đùi và ổ cối. Nguyên nhân do bẩm sinh hoặc mắc phải. Khớp háng là khớp lớn và vững chắc nhất trong các khớp. Nếu khớp háng trật được thì lực chấn thương tác động rất mạnh. Do đó, cần chú ý các tổn thương đi kèm gãy xương, tổn thương thần kinh, mạch máu, thậm chí chấn thương các cơ quan khác. * Nguyên nhân * Vị trí chỏm xương đùi – ổ cối * Phân loại theo Thompson- Epstein * Phân loại theo Pipkin * Hình thái tổn thương: * Trật khớp háng ra sau * Trật khớp háng ra trước * Trật khớp trung tâm – Loạn sản khớp háng tiến triển (Developmental dysplasia of the hip – DDH) trước đây được ghi nhận như trật khớp háng bẩm sinh (Congenital Dislocation of the Hip = CDH) là sự bất thường cấu tạo khớp háng, trong đó chỏm xương đùi không được giữ vững trong ổ khớp. * Nguyên nhân * Đặc điểm hình ảnh – Độ bao phủ ổ cối: – Đường Hilgenreiner: đường nằm ngang và đi qua khe sáng của đáy ổ cối (điểm cao nhất của khe sáng) – trung tâm của các sụn tam hợp – vị trí nơi 3 xương chậu (xương mu, xương ngồi, xương cánh chậu) gặp nhau. Bình thường chỏm xương đùi nằm dưới đường này. – Đường Ombredanne (Perkins): đứng dọc, vuông góc với đường Hilgenreiner và đi qua điểm ngoài cùng của ổ cối. Bình thường chỏm nằm phía trong đường này. – Đường Hilgenreiner & Đường Ombredanne: bình thường điểm cốt hóa chỏm xương đùi nằm ở góc 1/4 dưới trong của hệ trục 2 chiều tạo bởi đường Hilgenreiner và đường Ombredanne. – Góc ổ cối (Acetabular angle): – Gián đoạn đường Shenton: => Case lâm sàng 1: => Case lâm sàng 2: => Case lâm sàng 3: => Case lâm sàng 4: – Gãy đầu dưới của xương đùi (gãy lồi cầu xương đùi) là gãy xương mà vùng gãy được xác định từ dưới 1/3 dưới thân xương đùi hoặc gãy trong hình vuông có cạnh bằng chiều rộng của 2 lồi cầu xương đùi. Vùng trên lồi cầu xương đùi là hành xương nối tiếp thân xương và mặt sụn của khớp gối. * Loại A: gãy ngoài khớp * Loại B: gãy 1 lồi cầu * Loại C: gãy 2 lồi cầu – Gãy trên lồi cầu và gãy liên lồi cầu thường được nhìn thấy rõ trên phim X-quang thẳng (AP) và nghiêng dưới dạng đường sáng, có thể có mảnh vỡ. – Gãy xương dưới mấu chuyển: ≤ 5 cm dưới mấu chuyển bé. * Nguyên nhân * Phân loại ( Winquist and Hansen) * Đặc điểm hình ảnh – Gãy xương do bisphosphonate:II. Gãy chỏm xương đùi
1. Đại cương
– Gãy xương do chấn thương: thanh thiếu niên và người trẻ tuổi.
– Gãy xương do loãng xương: bệnh nhân lớn tuổi.
– Chiếm 0,5-1,5% trong tổng số các gãy xương đùi.
– Lâm sàng: Biểu hiện thông thường là trật khớp háng ra sau, với chi dưới bị ảnh hưởng ngắn lại, khép và xoay trong. Các chấn thương liên quan khác cũng thường gặp, đặc biệt là ở đầu gối cùng bên.2. Phân loại (Pipkin)
– Loại II: gãy xương kéo dài lên trên/đầu của hõm chỏm xương đùi
– Loại III: loại I hoặc II kèm theo gãy cổ xương đùi
– Loại IV: loại I, II hoặc III kèm theo gãy thành ổ cối3. Đặc điểm hình ảnh
– Sự lún của đường viền chỏm xương đùi trước (trên phim nghiêng).
– Có thể gãy dạng đường mảnh, không di lệch.
– Thường kèm trật khớp háng ra sau.III. Gãy cổ xương đùi
1. Đại cương
– Tỷ lệ gãy cổ xương đùi đang gia tăng khi tỷ lệ dân số cao tuổi ở nhiều quốc gia tăng lên. Ở những bệnh nhân từ 65 đến 99 tuổi, gãy cổ xương đùi và gãy liên mấu chuyển xảy ra với tần suất tương đương nhau.
– Là loại gãy nằm ở giữa chỏm và khối mấu chuyển.
+ Gãy dưới chỏm và xuyên cổ: hoàn toàn nằm trong bao khớp
+ Gãy cổ – mấu chuyển (nền cổ): 1 phần nằm ngoài bao khớp
+ Chấn thương
+ Loãng xương
+ Do điểm yếu của cổ xương đùi nằm giữa 2 hệ xương: hệ vòm nằm ở phía ngoài và hệ quạt nằm phía trong, nơi có cung Adam2. Phân loại
+ Gãy dưới chỏm: đường gãy ngay dưới sụn khớp của chỏm, tiên lượng nặng, dễ tiêu chỏm.
+ Gãy xuyên cổ: đường gãy nằm giữa chỏm và 2 mấu chuyển
+ Gãy nền cổ: đường gãy đi qua phần nền cổ nối với 2 mấu chuyển. Loại này tiên lượng tốt hơn 2 loại trên.
– Pauwels chia làm 3 loại dựa vào góc α (góc tạo bởi giữa diện gãy với mặt phẳng nằm ngang)
+ P1: α < 300 Trọng lực còn ép nhiều vào diện gãy, tiên lượng tốt
+ P2: 30 ≤ α ≤ 700 Tập hợp rơi 1 phần ra ngoài diện gãy, tiên lượng dè dặt
+ P3: α ≥ 700 Đường gãy gần như đứng dọc, rất khó liền
+ Garden 1: gãy 1 phần cổ – gãy cài nhau. Các bè xương phía dưới của cổ còn nguyên. Dễ liền xương, có thể điều trị bảo tồn.
+ Garden 2: gãy hoàn toàn và không di lệch => có thể điều trị bảo tồn
+ Garden 3: gãy hoàn toàn, di lệch nhiều nhưng diện gãy còn dính vào nhau, bao khớp bị rách ở phía trước nhưng còn liên tục ở phía sau. Đầu ngoại vi xoay ngoài, đầu trung tâm xoay trong và lên trên.
+ Garden 4: chỏm không còn dính vào cổ, chỏm quay tự do, rách bao khớp cả mặt trước và sau.
– Các động mạch mũ đùi xuất phát từ động mạch đùi sâu. Trong số đó, động mạch mũ đùi trong cung cấp phần lớn máu cho đầu xương đùi.
– Trong các trường hợp chấn thương gần vòng động mạch ngoài bao, chẳng hạn như gãy cổ xương đùi, có khả năng cao xảy ra hoại tử vô mạch của đầu xương đùi do gián đoạn cung cấp máu thích hợp.3. Đặc điểm hình ảnh
+ Đường Shenton là đường tưởng tượng được tạo bởi bờ trong của cổ xương đùi và bờ trên lỗ bịt. Bình thường đường này cong đều và liên tục.
+ Mất sự liên tục đường Shenton là dấu hiệu của gãy cổ xương đùi, loạn sản khớp háng bẩm sinh.
– Đường gãy tăng đậm độ => gãy lún.IV. Gãy mấu chuyển
1. Đại cương
– Phân loại:
+ Gãy liên mấu chuyển
+ Gãy quanh mấu chuyển: gãy liên mấu chuyển, liên quan đến cả hai mấu chuyển.
+ Gãy dưới mấu chuyển.
+ Gãy bong mấu chuyển lớn.
+ Gãy bong mấu chuyển bé.
– Gãy xương liên mấu chuyển (Tronzo):
+ Loại I: Gãy không hoàn toàn
+ Loại II: Không có sự vỡ vụn sau trong, mấu chuyển bé có thể bị gãy
+ Loại III: Vỡ vụn sau trong, thân xương bị lệch vào trong với cổ xương bị lún vào
+ Biến thể loại III: Loại III kết hợp với gãy mấu chuyển lớn
+ Loại IV: Vỡ vụn sau trong, thân xương bị lệch ra ngoài
+ Loại V: Gãy chéo ngược2. Đặc điểm hình ảnh
+ Gãy chéo dọc theo đường liên mấu chuyển
+ Gãy không di lệch thường khó nhìn thấy do loãng xương
+ Thường bị di lệch và ở vị trí lệch vào trong: Góc cổ-xương đùi bình thường là 120-135°. Lệch vào trong là góc cổ-xương đùi < 120°. Lệch ra ngoài là góc cổ-xương đùi > 135°
+ Di lệch có thể chủ yếu do lún
+ Có thể có sự vỡ vụn của mấu chuyển lớn hoặc mấu chuyển bé hoặc cả hai.
– Gãy liên mấu chuyển chéo ngược:
+ Đường gãy gần như vuông góc với gãy xương liên mấu chuyển tiêu chuẩn.
+ Kéo dài từ trên đường liên mấu chuyển xuống dưới, thoát ra ngoài hoặc phía trước.
+ Mảnh xương xa bị lệch vào trong bởi các cơ khép.
– Gãy mấu chuyển lớn: thường là gãy chéo không di lệch.
– Gãy mấu chuyển bé: thường bị di lệch lên trên và vào trong.V. Trật khớp háng
1. Đại cương
– Trật khớp háng ít gặp, chiếm khoảng 5% tổng số trật khớp.
– < 40 tuổi: chấn thương do tai nạn xe cơ giới là phổ biến nhất.
– > 65 tuổi: chấn thương thứ phát do ngã là phổ biến nhất.
– Trực tiếp: Phần lớn do tai nạn giao thông hay tai nạn lao động với lực chấn thương mạnh tác động trực tiếp lên khớp háng đẩy chỏm xương đùi ra khỏi ổ cối.
– Gián tiếp: Lực chấn thương tác động lên cẳng chân, gối, đùi tạo nên lực đòn bẩy làm trật chỏm xương đùi ra khỏi ổ cối.
– Trật khớp háng bẩm sinh:
+ Đột biến nhiễm sắc thể: trẻ bị cứng đa khớp bẩm sinh (bàn chân khoèo, cứng khớp gối, cứng khớp khuỷu, cứng khớp vai, trật khớp háng…).
+ Nhiễm trùng của mẹ khi mang thai. Tư thế thai nhi bất thường. Không rõ nguyên nhân.2. Phân loại
– Trật kiểu chậu (ra sau, trên): đùi khép, xoay trong, khớp háng và gối gấp ít.
– Trật kiểu ngồi (ra sau, dưới): đùi khép, xoay trong, khớp háng và gối gấp nhiều.
– Trật kiểu mu (ra trước, trên): đùi dạng, xoay ngoài, khớp háng và gối duỗi ít.
– Trật kiểu bịt (ra trước, dưới): đùi dạng, xoay ngoài, khớp háng và gối gập.
– Trật kiểu trung tâm do lực tác động mạnh làm chỏm xương đùi thúc mạnh vào ổ cối bị vỡ.
– Type 1: Không có mảnh gãy.
– Type 2: Mảnh gãy bờ sau ổ cối.
– Type 3: Gãy phức tạp bờ ổ cối, có hoặc không có mảnh vỡ
– Type 4: Gãy trần ổ cối.
– Type 5: Gãy chỏm xương đùi.
– Type I: Trật khớp háng với gãy cực trên chỏm xương đùi tiếp giáp hố dây chằng tròn.
– Type II: Trật khớp háng ra sau, gãy chỏm nơi gần tiếp giáp cổ xương đùi.
– Type III: Type I và type II, cùng gãy cổ xương đùi.
– Type IV: Type I, II hoặc III kết hợp với gãy ổ cối.3. Đặc điểm hình ảnh
– Trật khớp ra sau (phổ biến nhất ~85%)
– Trật khớp ra trước (~10%)
+ Trật khớp xuống dưới
+ Trật khớp lên trên (hiếm gặp)
– Trật khớp trung tâm – luôn liên quan đến gãy ổ cối
– Thường xảy ra trong bối cảnh chấn thương nghiêm trọng, do cần một lực lớn. Tình huống phổ biến nhất là trong các vụ tai nạn xe cơ giới khi hông bị gập và đầu gối bị đẩy ngược lại.
– Có thể kèm theo gãy xương bờ sau của ổ cối và/hoặc chấn thương đến sụn viền ổ cối.
– Chi bị ảnh hưởng thường bị rút ngắn, khép lại và xoay trong.
– Phim chụp tư thế thẳng trước-sau (AP) thường đủ để chẩn đoán, mặc dù các gãy xương ổ cối liên quan sẽ cần CT để đánh giá đầy đủ.
– Chỏm xương đùi nằm ở phía sau và hơi lên trên và hơi ra ngoài so với ổ cối.
– Mấu chuyển lớn thường nhô ra do xương đùi xoay trong, hiển thị rõ hơn trong khi mấu chuyển bé thường bị che khuất trên phim AP.
– Chỏm xương đùi bên trật nhìn nhỏ hơn so với bên đối diện do gần với casset chụp.
– Có thể kèm theo vỡ xương thành sau ổ cối.
– Chỏm xương đùi nằm trong và dưới, chồng lên lỗ bịt hoặc ụ ngồi.
– Mấu chuyển bé dễ thấy hơn do xương đùi xoay ngoài và dạng.
– Chỏm xương đùi lớn hơn so với bên đối diện.
– Đường Shenton mất liên tục.
– Hình ảnh X-quang của trật khớp háng trước trên ít rõ ràng hơn, thường dẫn đến chẩn đoán nhầm ban đầu là trật khớp háng ra sau. Dấu hiệu có thể giúp phân biệt hai loại này:
+ Mấu chuyển bé dễ thấy hơn trong trật khớp ra trước do xoay ngoài.
+ Chỏm xương đùi sẽ xuất hiện lớn hơn so với bên đối diện do bị phóng đại vì nằm xa hơn casset chụp.
– Sự di lệch của đầu xương đùi vào trong khung chậu, luôn liên quan đến gãy xương thành ổ cối – Thường không được coi là trật khớp thực sự.4. Trật khớp háng bẩm sinh
– DDH có thể 1 hoặc 2 bên
– Tỷ lệ 1/1000 ca sinh, 95% trẻ có thể điều trị thành công.
– 1/3 trường hợp có tiền căn gia đình.
– Khớp háng trái thường gặp hơn bên phải gấp 3 lần.
– Tiền căn gia đình (1/10 trẻ nếu cha mẹ hoặc anh chị em có DDH).
– Bất thường bẩm sinh: bại não, hội chứng Down, co cứng khớp, khuyết tật cột sống.
– Con so
– Đa thai
– Thiểu ối.
– Đẻ ngôi ngược (ngôi mông).
– Sau khi đứa trẻ được 4–5 tháng tuổi, sự cốt hóa của xương đùi bắt đầu che khuất các mốc siêu âm và chụp X-quang trở nên đáng tin cậy hơn để phát hiện DDH. Đây là phương tiện tiêu chuẩn để chẩn đoán DDH ở trẻ sau 6 tháng tuổi.
– Chỏm xương đùi di chuyển ra ngoài và lên trên. Nếu chỏm chưa xuất hiện trên X-quang (< 6 tháng tuổi) thì đánh giá các chỉ số khác.
– Đánh giá sự đối xứng của chỏm xương đùi. Chậm cốt hóa chỏm xương đùi là 1 dấu hiệu của chứng loạn sản khớp háng tiến triển.
– Ổ cối nông.
+ Góc Wiberg được sử dụng để đánh giá độ bao phủ ổ cối với chỏm xương đùi, rất có giá trị khi trẻ > 5 tuổi.
+ Góc Wiberg được bảo bởi đường thẳng đứng đi qua trung tâm cốt hóa chỏm xương đùi với đường từ trung tâm cốt hóa chỏm xương đùi tiếp tuyến bờ ngoài ổ cối.
+ Từ lúc mới sinh đến 2 tuổi góc Wiberg khoảng 20º. Tăng chiều rộng ổ cối phát triển từ cuối năm 2 tuổi đến 7 tuổi thì dừng lại.
+ Bình thường góc Wiberg nằm trong khoảng 25-35º. Góc Wiberg < 20º được coi là bất thường.
+ Đo độ dốc của mái ổ cối.
+ Là góc tạo bởi đường Hilgenreiner và đường đi qua bờ ngoài mái ổ cối đến trung tâm sụn tam hợp.
+ Góc ổ cối thay đổi tùy theo lứa tuổi. Khi mới sinh góc ổ cối < 30º và giảm dần theo sự trưởng thành của khung chậu (< 22º sau 1 tuổi). Góc này tăng trong trường hợp loạn sản ổ cối.
+ Ở người lớn: bình thường là 33-38º. Khi loạn sản ổ cối góc này > 47º
+ Đường Shenton là đường tưởng tượng được tạo bởi bờ dưới của cổ xương đùi và bờ trên lỗ bịt. Bình thường đường này cong đều và liên tục.
+ Mất sự liên tục đường Shenton là dấu hiệu của gãy cổ xương đùi, loạn sản khớp háng bẩm sinh.VI. Gãy đầu dưới
1. Đại cương
– Gãy đầu dưới xương đùi chiếm tỷ lệ 5% trong tất cả gãy xương vùng xương đùi, thường gặp gãy trên lồi cầu và gãy liên lồi cầu xương đùi.
– Gãy xương đầu dưới đùi hay gặp ở người lớn tuổi, loãng xương.
– Nguyên nhân:
+ Trực tiếp: thường gặp ở người trẻ tuổi, do tai nạn giao thông và sinh hoạt, lực tác động trực tiếp vào xương gãy, dễ gây gãy hở.
+ Gián tiếp: thường gặp người cao tuổi, nữ giới, loãng xương, do lực bẻ gián tiếp vào trong, ra ngoài hoặc xoay lớn hơn sức chịu tải lực2. Phân loại (Muller AO)
– A1: gãy đơn giản
– A2: gãy hành xương có mảnh rời
– A3: gãy phức tạp vùng hành xương
– B1: gãy lồi cầu ngoài
– B2: gãy lồi cầu trong
– B3: gãy mặt phẳng trán
– C1: gãy phạm khớp và gãy hành xương đơn giản
– C2: gãy phạm khớp đơn giản và gãy phức tạp hành xương
– C2: gãy nát đầu xa xương đùi3. Đặc điểm hình ảnh
– Thường bị gập góc và di lệch.
– Gãy lồi cầu có thể khó thấy trên phim X-quang. Có thể cần tư thế chếch để thấy một số gãy lồi cầu.
– Tràn máu ổ khớp.
+ Luôn có trong gãy liên lồi cầu hoặc lồi cầu cấp tính.
+ Đôi khi có trong gãy trên lồi cầu cấp tính.VII. Gãy thân xương
– Gãy thân xương đùi: phần xương nằm giữa 5 cm dưới mấu chuyển bé và 6 cm gần điểm xa nhất của lồi cầu trong xương đùi.
– Thường do một chấn thương mạnh trực tiếp như tai nạn giao thông, hoặc một chấn thương gián tiếp kết hợp với gấp và vặn xoắn. Thường gặp ở người lớn và trẻ em từ 3-5 tuổi.
– Xương đùi có khả năng bị gãy theo nhiều cách khác nhau, tùy thuộc vào lực tác động. Các mảnh xương có thể xếp đúng hàng (gãy ổn định) hoặc không thẳng hàng (gãy di lệch). Da xung quanh chỗ gãy có thể nguyên vẹn (vết gãy kín) hoặc bị thủng (vết gãy hở).
– Chấn thương trực tiếp : Do tai nạn giao thông, tai nạn lao động như xe đè, ngã cao, sập hầm, đập trực tiếp vào đùi.
– Chấn thương gián tiếp : Do gập xoay đùi quá gấp khi ngã cao.Lực chấn thương tạo nên lực bẻ, xoắn làm xương bị gãy.
– Gãy xương bệnh lý: Do các bênh lý làm xương yếu: u xương, nang xương, viêm xương.
– Gãy xương ở trẻ sơ sinh: do đỡ đẻ
– Phân loại gãy thân xương đùi của Winquist và Hansen dựa trên mức độ gãy vụn và độ ổn định của gãy xương. Hệ thống phân loại này giúp xác định phương pháp điều trị phù hợp, đặc biệt là liệu có cần đóng đinh nội tủy hay phẫu thuật mở hay không.
– Phân loại này ban đầu được sử dụng để hỗ trợ (cùng với các yếu tố khác) trong việc quyết định liệu một gãy xương có cần đóng đinh nội tủy hay phẫu thuật mở, điều này quan trọng vào thời điểm phân loại được công bố. Tuy nhiên, đóng đinh nội tủy hiện được coi là tiêu chuẩn vàng (khoảng năm 2023) cho gãy thân xương đùi bất kể loại nào.
+ Loại 0: không có gãy vụn hoặc mảnh xương hình cánh bướm nhỏ <25% chiều rộng của xương
+ Loại I: mảnh xương hình cánh bướm nhỏ <25% chiều rộng của xương
+ Loại II: mảnh xương hình cánh bướm ≤50% chiều rộng của xương
+ Loại III: gãy vụn với mảnh xương hình cánh bướm lớn >50% chiều rộng của xương
+ Loại IV: gãy vụn nghiêm trọng của toàn bộ đoạn xương
– Chấn thương do tai nạn giao thông tốc độ cao thường là gãy ngang hoặc chéo ngắn – Thường gãy vụn, đặc biệt ở bệnh nhân trẻ.
– Chấn thương tốc độ thấp thường là gãy xoắn.
– Gãy xương dưới mấu chuyển – Thường ở vị trí lệch trong.
– Gãy thân xương đùi – Thường bị di lệch và xoay.
+ Bắt đầu bằng sự dày lên cục bộ của vỏ xương phía ngoài (hình mỏ/núm)
+ Đường sáng đi ngang qua vỏ xương dày
+ Có thể dẫn đến gãy hoàn toàn mà không cần chấn thương nếu không được điều trị
+ Gãy hoàn toàn thường là gãy ngang, đôi khi là gãy chéo (<30°)
+ Thường xảy ra ở cả hai bên. Thường chỉ một bên có triệu chứng
Tài liệu tham khảo
* Imaging Evaluation of Developmental Hip Dysplasia in the Young Adult – Luis S. Beltran, Zehava S. Rosenberg
* Imaging Features and Management of Stress, Atypical, and Pathologic Fractures – Richard A. Marshall, Jacob C. Mandell, Michael J. Weaver, Marco Ferrone, Aaron Sodickson, Bharti Khurana
* Atypical femoral fractures related to bisphosphonate therapy – Tarun Pankaj Jain and Murray Thorn
* Atraumatic fractures of the femur – Ganesh Hedge, Siddharth Thaker, Rajesh Botchu, Richard Fawcettand Harun Gupta
* Hip Fractures: A Practical Approach to Diagnosis and Treatment – Jacob C.Mandell
* Adult Hip Radiography: Lines and angles – A. L. Proenca, A. P. Caetano, L. Bogalho; Lisbon/PT
* Femoral shaft fractures: Malalignment after intramedullary nailing – M. J. Ereño Ealo
* Acute Hip Pain and Femoral Neck Fracture Mimics – R. E. Ibrahem Adam, J. Thomas; Nottingham/UK
* Prognosis factors associated with a subchondral insufficiency fracture of the femoral head – K. Iwasaki, T. Yamamoto, G. Motomura, S. Ikemura, R. Yamaguchi, Y. Iwamoto; Fukuoka/JP
* A pictorial review of vascular and urological complications of hip fractures in major trauma – G. Zanirato Rambaldi, A. Tarsi, M. Giannotta, V. Cosi, P. E. Orlandi, M. Imbriani; Bologna/IT
* Traumatic Hip Dislocation: What the Orthopedic Surgeon Wants to Know – Jacob C. Mandell , Richard A. Marshall, Michael J. Weaver, Mitchel B. Harris, Aaron D. Sodickson, Bharti Khurana
* Traumatic Hip Dislocation – P. H. Ousema, R. E. Westerbeek; Deventer/NL
* Imaging findings of developmental dysplasia of the hip in adults – N. Arevalo, N. Santamaria, E. Diez, J. Gredilla Molinero, M. Grande Barez; Madrid/ES
* Radiography, CT, and MRI of Hip and Lower Limb Disorders in Children and Adolescents – Mariana S. Silva, Artur R. C. Fernandes , Fabiano N. Cardoso, Carlos H. Longo, André Y. Aihara






















# Cập nhật nội dung bài viết & Case lâm sàng 29/11/2025
# Cập nhật nội dung bài viết & Case lâm sàng 21/12/2024
# Cập nhật nội dung bài viết & Case lâm sàng 17/4/2024
# Cập nhật nội dung bài viết & Case lâm sàng 28/2/2024
# Cập nhật nội dung bài viết & Case lâm sàng 5/2/2024