I. Dị tật lồng ngực
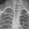
1. Biến dạng Sprengel
– Bất thường liên quan xương vai.
– Xương vai không di chuyển xuống vị trí bình thường mà nằm cao, thường trên khoảng xương sườn 1.
– Có thể bị cả hai bên.
– Biến dạng này thường kèm theo biến dạng Kippel-Feil với hình ảnh dính hai hay nhiều đốt sống cổ.
  NỘI DUNG WEB
» 422 Bài giảng chẩn đoán hình ảnh
» X-quang / Siêu âm / CT Scan / MRI
» 25.000 Hình ảnh case lâm sàng
  ĐỐI TƯỢNG
» Kỹ thuật viên CĐHA
» Sinh viên Y đa khoa
» Bác sĩ khối lâm sàng
» Bác sĩ chuyên khoa CĐHA
  Nội dung Bài giảng & Case lâm sàng thường xuyên được cập nhật !
  Đăng nhập Tài khoản để xem Nội dung Bài giảng & Case lâm sàng !!!
– Là bất thường bẩm sinh phần mềm thành ngực, không mang tính gia đình. => Case lâm sàng 1: => Case lâm sàng 2: – Dính sườn: 2 hay nhiều xương sườn, là một trong các bất thường bẩm sinh hay gặp nhất. Nó xảy ra trên toàn bộ hoặc một phần chiều dài xương sườn. Thường gây triệu chứng ở người trẻ, đặc biệt khi hoạt động thể thao hoặc các hoạt động gắng sức khác. => Case lam sàng 1: – Xương sườn tách đôi: – Thiểu sản xương sườn: là một bất thường gặp ở khoảng 0.2% dân số. Thường xảy ra ở xương sườn 1 hoặc 12, không có triệu chứng lâm sàng. Xương sườn ngắn không kéo dài về phía trước tới xương ức. Sự biến đổi này xảy ra ở khoảng 16% dân số, phổ biến ở bên phải hơn bên trái và có thể xảy ra cả hai bên. – Xương sườn trong lồng ngực: là một biến thể rất hiếm gặp, đặc trưng bởi xương sườn nhô vào trong khoang ngực. Nó thường là một xương sườn thừa, một bên (phổ biến nhất là ở bên phải) và không có triệu chứng, mặc dù nó có thể chèn vào cơ hoành và ảnh hưởng đến chức năng hô hấp. – Vôi hóa sụn sườn: cung trước và một phần cung bên xương sườn cấu tạo bởi sụn nên không nhìn thấy trên X-quang. Ở những người có tuổi, sụn trở lên tăng lắng đọng canxi và có thể quan sát thấy. – Giả khớp sườn: thường ở xương sườn thứ nhất, xảy ra ở một bên và chiếm 0.1% dân số. Có thể bẩm sinh hoặc sau chấn thương. Có thể biểu hiện là sờ thấy khối cứng vị trí dưới xương đòn – Khuyết xương sườn có thể gặp ở bờ dưới hay bờ trên của xương sườn. – Lõm xương ức (Pectus excavatum) còn gọi là ngực phễu, lồng ngực hình ống khói, do sự lún của xương ức vào trong, làm các xương sườn ở mỗi phía lồi nhiều ra trước hơn so với xương ức. Bệnh thường kèm theo các bất thường bẩm sinh về mô liên kết khác như: hội chứng Marfan, Poland, vẹo cột sống và hội chứng Pierre Robin. – Đặc điểm X-quang: – Chỉ số Haller: là tỉ lệ giữa khoảng cách ngang lớn nhất mặt trong khung xương sườn với khoảng cách ngắn nhất giữa xương ức và bờ trước thân đốt sống: bình thường < 2.5. Khi chỉ số này trên 3.25 nên phẫu thuật chỉnh hình. => Case lâm sàng: – Góc xoắn ức (sternal torsion angle): là 1 tiêu chuẩn hình thái học cần thiết để ghi chú cho mỗi bệnh nhân lõm xương ức, được xác định trên mặt phẳng axial. – Lồi xương ức (Bulging sternum) còn gọi là ngực bồ câu, xương ức gà, xương ức lồi ra trước nhiều hơn bình thường. – Loạn sản khớp háng tiến triển (Developmental dysplasia of the hip – DDH) trước đây được ghi nhận như trật khớp háng bẩm sinh (Congenital Dislocation of the Hip = CDH) là sự bất thường cấu tạo khớp háng, trong đó chỏm xương đùi không được giữ vững trong ổ khớp. * Nguyên nhân * Đặc điểm hình ảnh – Đánh giá sự đối xứng của chỏm xương đùi. Chậm cốt hóa chỏm xương đùi là 1 dấu hiệu của chứng loạn sản khớp háng tiến triển. – Độ bao phủ ổ cối: – Đường Hilgenreiner: đường nằm ngang và đi qua khe sáng của đáy ổ cối (điểm cao nhất của khe sáng). Bình thường chỏm xương đùi nằm dưới đường này. – Đường Ombredanne (Perkins): đứng dọc, vuông góc với đường Hilgenreiner và đi qua điểm ngoài cùng của ổ cối. Bình thường chỏm nằm phía trong đường này. – Đường Hilgenreiner & Đường Ombredanne: bình thường điểm cốt hóa chỏm xương đùi nằm ở góc 1/4 dưới trong của hệ trục 2 chiều tạo bởi đường Hilgenreiner và đường Ombredanne. – Góc ổ cối (Acetabular angle): – Gián đoạn đường Shenton: => Case lâm sàng 1: => Case lâm sàng 2: => Case lâm sàng 3: => Case lâm sàng 4: – Xương bánh chè hai mảnh (bipartite patella) khá hiếm gặp với đa số các trường hợp được phát hiện tình cờ. Thông thường, tổn thương này không có triệu chứng, tuy nhiên một số trường hợp có thể gây đau do vận động quá mức của khớp gối. => Case lâm sàng 1: => Case lâm sàng 2: => Case lâm sàng 3: => Case lâm sàng 4: – Loại I: ở cực dưới, chiếm 5% – Xương quay bị thiếu hoàn toàn hoặc một phần. Hay gặp bàn tay bị vẹo ngoài. Đầu dưới xương trụ chồi to ra. Chi trên ngắn, bằng 2/3 so với bên lành. Thường kèm cứng khớp gian đốt ngón tay 2-3. – Hay gặp tật dính đầu trên xương quay – trụ. Lâm sàng gây mất sấp ngửa cẳng tay. – Dị tật dính ngón (Syndactyly) đơn giản chỉ dính da hoặc dính phức tạp, dính cả xương. Có thể dính chụm các đầu ngón tay, dính ngắn các ngón tay. – Dị tật thừa ngón (Polydactyly) là tình trạng thừa ngón tại một vị trí nào đó của bàn tay, bàn chân; có thể tại ngón cái, ngón út và hiếm gặp hơn là thừa các ngón giữa. – 3 kiểu: ngón tay một cục phần mềm có cuống không có xương / đốt ngón tay phân đôi một phần / có thêm ngón phụ có cả khớp xương. – Đây là căn bệnh bẩm sinh dị tật ngón tay chân khổng lồ (Macrodactyly), là một tình trạng hiếm gặp khi một hoặc nhiều ngón tay/chân trên một bàn tay tay hoặc bàn chân có kích thước lớn hơn nhiều so với những ngón còn lại gây biến dạng bàn tay hoặc bàn chân dẫn đến mất thẩm mỹ. – Do xương quay bị ngắn lại và bị cong, đầu dưới xương trụ chồi ra phía sau cổ tay. Bàn tay cổ tay bị vẹo ra ngoài. – Bất thường đường cong cột sống ngực có thể ưu thế bên (vẹo cột sống-scoliosis) hoặc trước sau (gù-cyphosis) hoặc kết hợp cả hai. Nguyên nhân có thể do bẩm sinh, mắc phải, vô căn. – Đường cong lớn nhất ở cột sống vẹo được gọi là đường cong chính. Biến dạng vẹo cột sống có thể có một hoặc nhiều đường cong chính. Các đường cong nhỏ khác (nếu có) được gọi là đường cong phụ. Đối với mỗi độ cong, có đốt sống cuối và đỉnh. – Đo góc đường cong cột sống: – Đo độ xoay cột sống: Mặc dù CLVT cho phép đánh giá tốt sự xoay của thân đốt sống, nhưng – Đánh giá tiến triển vẹo cột sống bằng cách đánh giá mức độ trưởng thành xương (Phân loại Risser). Risser mô tả sự cốt hóa dần dần từ trước ngoài tới sau trong của mào chậu và sự hàn xương cuối cùng với xương chậu ở sự trưởng thành của khung xương. Hệ thống phân loại Risser chia tiến trình trưởng thành xương thành 5 giai đoạn cốt hóa của mào chậu: – Thực tế quá trình đóng đường tiếp còn tiếp tục xảy ra sau khi sinh nở và qua từng giai đoạn như sau: * Hình thái tổn thương – Thoát vị màng não (Meningocele): => Case lâm sàng 1: => Case lâm sàng 2: – Thoát vị tủy-màng tủy (Myelomeningocele): => Case lâm sàng 1: => Case lâm sàng 2: – Dị dạng Arnold – Chiari. Là chứng bệnh hiếm gặp có thể xảy ra đơn độc hay kết hợp với thoát vị màng não tuỷ – tuỷ sống, hay với sọ đáy dẹt. Một lưới tổ chức tiểu não và tuỷ sống bị kéo dài lồi xuống dưới đè ép tuỷ sống. Não thất IV mở rộng trong ống sống và tuần hoàn dịch não tuỷ có thể bị nghẽn tắc gây tràn dịch não trong. Đồng thời người ta có cả dấu hiệu tiêu hoá, bó tháp, có thể tràn dịch não trong. Đa số các trường hợp có thoát vị màng não tuỷ sống (Xem thêm tại đây) – Khá thường gặp, từ hở cho đến không có cung sau hoàn toàn. => Case lâm sàng 1: => Case lâm sàng 2: => Case lâm sàng 3: => Case lâm sàng 4: – Cốt hóa mỏm nha (Os odontoideum) là bất thường bẩm sinh hay gặp nhất tại mỏm nha. Nguyên nhân do bẩm sinh hoặc mắc phải – di chứng sau chấn thương trước giai đoạn cốt hóa (5-7 tuổi), sự gián đoạn xảy ra ở tấm sụn giữa mỏm nha và thân đốt C2. Có thể ảnh hưởng tới khớp trục đội, sự mất ổn định có thể dẫn đến hẹp đáng kể ống sống và chèn ép tủy cổ ngang mức C1. + Phần mỏm cốt hóa tự do thường nằm trên diện khớp trên của đốt trục C2, tạo khoảng cách rộng với phần còn lại của mỏm nha. Hình tròn hoặc bầu dục với bờ viền cốt hóa đều, phần còn lại của mỏm nha có bờ đều. Mỏm cốt hóa thường được gắn chặt vào bờ sau cung trước C1 và di chuyển theo trên các tư thế chụp trung gian, ưỡn, ngửa. Cung trước C1 thường phình to hình tròn => mất hình mặt trăng. => Case lâm sàng 1: => Case lâm sàng 2: => Case lâm sàng 3: => Case lâm sàng 4: – Đốt sống hình cánh bướm. => Case lâm sàng 1: đốt sống hình cánh bướm => Case lâm sàng 2: nửa thân đốt sống – Xương sườn cổ 7 – Xương sườn thắt lưng / Xương sườn 13 (Lumbar rib): => Case lâm sàng 1: – Thắt lưng hoá D12: xương sườn cụt 12 teo nhỏ => hình ảnh 6 đốt sống thắt lưng, vẫn quan sát thấy đường khớp sườn sống đốt sống D12. – Thắt lưng hoá S1 (Lumbarisation): đốt sống cùng S1 tách khỏi xương cùng, nhô cao lên đoạn thắt lưng để tạo thành đốt sống thắt lưng thứ L6. – Cùng hoá L5 (Sacralisation): – Phân loại Castellvi: => Case lâm sàng: => Hội chứng Bertolotti: hiện tượng cùng hóa L5-S1 kèm biểu hiện đau trên lâm sàng, thường gặp ở loại II và loại IV. Được mô tả lần đầu tiên bởi Mario Bertolotti (1876-1957) vào năm 1917. Gặp ở 4-8% dân số. => Case lâm sàng 1: => Case lâm sàng 2: – Phân biệt hở eo # Đường khớp: bờ đều – Phân biệt hở eo # Đường gãy: không có viền đặc xương. – Trượt thân đốt sống do hở eo thân đốt hoàn toàn tự phát, đôi khi sau một cơ hội có chấn thương nhẹ ở cột sống. Hình ảnh X-quang trượt thân đốt được xác định bằng sơ đồ Ulmann: thân đốt trượt sẽ ra trước đường thẳng kẻ vuông góc với mặt trên thân đốt dưới tại góc trên. Trượt thân đốt sống có thể do nguyên nhân thoái hoá là do đĩa đệm bị thoái hoá mất tính chất đàn hồi làm cho sự liên kết giữa các thân đốt thiếu chặt chẽ, trượt do thoái hoá là trượt giả, trượt do hở eo là trượt thật. – Bệnh Mucopolysaccharide (MPS) là một nhóm bệnh rối loạn chuyển hóa hiếm gặp (khoảng 4,5/100000 trẻ sơ sinh sống) do thiếu hụt enzym của lysosom cần thiết để giáng hóa glycosaminoglycans. – Đặc điểm hình ảnh: Biến dạng xương sọ, giãn não thất. Biến dạng các đốt sống, chèn ép tủy sống. Xương sườn hình mái chèo. Biến dạng xương chi, xương chậu, loãng xương. => Case lâm sàng 1: => Case lâm sàng 2: – Nang Tarlov được đặt tên theo nhà thần kinh học Isodare Tarlov, người đầu tiên mô tả về bệnh năm 1938. Tarlov cyst là nang rễ thần kinh chứa dịch não tủy, hầu hết gặp ở xương cùng. Chúng xuất hiện dọc theo rễ sau dây thần kinh, có thể có valve hoặc không, có thể gặp một hoặc nhiều nang. Đặc điểm phân biệt với những loại tổn thương dạng nang khác ở cột sống là: có sợi xơ của rễ dây thần kinh tuỷ sống phía trong thành nang. => Case lâm sàng 1: => Case lâm sàng 2: => Case lâm sàng 3: => Case lâm sàng 4: => Case lâm sàng 5: => Case lâm sàng 6: – Rất hiếm gặp, biểu hiện bằng sự thiếu sót đốt sống cổ, giảm số lượng đốt sống cổ, đốt sống gắn liền với nhau. Đồng thời có thể xuất hiện một gai đôi hoặc thoát vị màng tuỷ – tuỷ sống. Đứa trẻ hầu như không có cổ, đầu mọc trên ngực. Vận động của đầu rất hạn chế, đầu có thể về một phía như trong chứng vẹo cổ, xương bả vai thường trồi cao lên. => Case lâm sàng 1: => Case lâm sàng 2:2. Hội chứng Porland
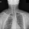
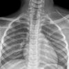
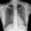
– Thường gặp ở nam, tỷ lệ so với nữ 2-3:1
– Nửa phải lồng ngực thường gặp hơn bên trái.
– Nguyên nhân không rõ. Giả thiết do gián đoạn cung cấp máu cho động mạch dưới đòn và động mạch đốt sống ở giai đoạn sớm thời kỳ bào thai.
– Hội chứng bao gồm: không có cơ ngực lớn, không hoặc giảm sản cơ ngực bé, thiểu sản cơ lưng rộng và cơ delta, bất sản hoặc biến dạng của sụn sườn từ xương sườn thứ 2 đến thứ 5, giảm sản mô vú, mô dưới da và các bất thường ở bàn tay.
– Các dấu hiệu X-quang đặc trưng bao gồm tình trạng tăng độ sáng một bên của phổi liên quan đến việc thiếu các mô mềm của thành ngực. CT hoặc MRI có thể xác nhận chẩn đoán do thấy tình trạng bất sản một bên của cơ ngực. Nhu mô phổi bình thường trừ khi có thoát vị phổi liên quan đến biến dạng thành ngực và khuyết tật xương sườn.
– Lưu ý phân biệt hội chứng phổi tăng sáng một bên (Swyer-James).3. Bất thường xương sườn
+ Sườn chẻ đôi (tách đôi), còn được gọi là xương sườn chẻ đôi của Luschka, là biến thể xương sườn phổ biến nhất được đặc trưng bởi sự phân chia ở phần trước của nó.
+ Nó thường liên quan đến xương sườn thứ 4 (tỷ lệ mắc: thứ 3/4 > thứ 5 > thứ 6 > thứ 2).
+ Gặp ở 0.2% dân số.
+ Thường không có triệu chứng lâm sàng, tuy nhiên có thể gây khó thở, tổn thương thần kinh, giới hạn hoạt động đặc biệt các hoạt động gắng sức.4. Khuyết xương sườn
– Nguyên nhân thường gặp là hẹp eo động mạch chủ, gây hình khuyết bờ dưới xương sườn, cách chỗ nối xương sườn và xương sống vài cm, gặp ở các xương sườn thứ 3 đến 9. Các khuyết này do sự bào mòn xương do các động mạch gian sườn giãn lớn và đập. Các động mạch này có thể giãn rất lớn, ngoằn ngoèo gây bào mòn cả bờ trên xương sườn phía dưới.
– Khuyết bờ trên xương sườn thường ít gặp hơn. Nguyên nhân: liệt tứ chi, bệnh mô liên kết (thấp khớp, lupus ban đỏ), tạo xương bất toàn, hội chứng Marfan, tia xạ, cường tuyến cận giáp, tăng Vitamin D.5. Lõm xương ức
– Đây là 1 dị dạng thành ngực thường gặp nhất (90%).
+ Làm mờ bờ tim phải.
+ Sự dịch chuyển trung thất sang trái có thể tạo ra một giả thâm nhiễm ở bên phải bóng tim do nhìn rõ hơn các mạch máu rốn phổi.
+ Có thể xóa bờ động mạch chủ xuống.
+ Có thể rộng bóng tim.
+ Xương ức lõm ra sau trên phim nghiêng.
+ Bờ trong của bóng vú ở nữ nhìn thấy rõ ràng và nằm thẳng đứng nhiều hơn.
+ Các cung sau xương sườn nằm ngang, các cung trước xương sườn nằm chếch thẳng đứng nhiều hơn.
+ Mức độ nhẹ: 2 – 3.2
+ Mức độ trung bình: 3.2 – 3.5
+ Nặng: > 3.5
+ Nếu > 30°: lõm mức độ nặng
+ Nếu < 30°: lõm mức độ nhẹ6. Lồi xương ức
– Thường gặp nam nhiều hơn nữ, liên quan gia đình khoảng 21% và liên quan vẹo cột sống khoảng 10%.
– Bệnh lý kèm theo có thể là thông liên thất hay thông liên nhĩ.
– Hình dáng cụ thể của khung xương biến dạng theo mức độ khác nhau ở từng bệnh nhân, các xương sườn nhô lồi ra phía trước, nhọn hẳn hoặc lồi nhẹ.
– So với dị tật lõm lồng ngực, thì dị tật xương ức gà ít nguy hiểm hơn vì không chèn ép và cản trở tim và phổi, tuy nhiên hiện tượng lồi ngực cũng cản trở và ảnh hưởng đến các cơ quan tại khu vực lồng ngực cũng không ít, cụ thể như sau:
+ Hạn chế, cản trở hoạt động của tim và phổi do cấu tạo lồng ngực hẹp-lồi ra trước. Thành ngực nhô ra và xuất hiện hiện tượng cứng thành ngực, khiến bệnh nhân khó khăn trong quá trình hô hấp.
+ Do hoạt động hô hấp bị cản trở, nên bệnh hen suyễn thường xuất hiện ở những bệnh nhân dị tật xương ức gà.
+ Cũng là dị tật, nhưng với bệnh lõm ngực thì lồi ngực lại gây mất thẩm mỹ hơn rất nhiều.II. Dị tật chi dưới
1. Trật khớp háng bẩm sinh
– DDH có thể 1 hoặc 2 bên
– Tỷ lệ 1/1000 ca sinh, 95% trẻ có thể điều trị thành công.
– 1/3 trường hợp có tiền căn gia đình.
– Khớp háng trái thường gặp hơn bên phải gấp 3 lần.
– Tiền căn gia đình (1/10 trẻ nếu cha mẹ hoặc anh chị em có DDH).
– Bất thường bẩm sinh: bại não, hội chứng Down, co cứng khớp, khuyết tật cột sống.
– Con so
– Đa thai
– Thiểu ối.
– Đẻ ngôi ngược (ngôi mông).
– Sau khi đứa trẻ được 4–5 tháng tuổi, sự cốt hóa của xương đùi bắt đầu che khuất các mốc siêu âm và chụp X-quang trở nên đáng tin cậy hơn để phát hiện DDH. Đây là phương tiện tiêu chuẩn để chẩn đoán DDH ở trẻ sau 6 tháng tuổi.
– Chỏm xương đùi di chuyển ra ngoài và lên trên. Nếu chỏm chưa xuất hiện trên X-quang (< 6 tháng tuổi) thì đánh giá các chỉ số khác.
– Ổ cối nông.
+ Góc Wiberg được sử dụng để đánh giá độ bao phủ ổ cối với chỏm xương đùi, rất có giá trị khi trẻ > 5 tuổi.
+ Góc Wiberg được bảo bởi đường thẳng đứng đi qua trung tâm cốt hóa chỏm xương đùi với đường từ trung tâm chỏm xương đùi tiếp tuyến bờ ngoài ổ cối.
+ Từ lúc mới sinh đến 2 tuổi góc Wiberg khoảng 20º. Tăng chiều rộng ổ cối phát triển từ cuối năm 2 tuổi đến 7 tuổi thì dừng lại.
+ Bình thường góc Wiberg nằm trong khoảng 25-35º.
+ Là góc tạo bởi đường Hilgenreiner và đường đi qua 2 điểm ngoài cùng và trong cùng của ổ cối.
+ Góc ổ cối thay đổi tùy theo lứa tuổi. Khi mới sinh góc ổ cối < 28º và giảm dần theo sự trưởng thành của khung chậu (< 22º sau 1 tuổi). Góc này tăng trong trường hợp loạn sản ổ cối.
+ Ở người lớn: bình thường là 33-38º. Khi loạn sản ổ cối góc này > 47º
+ Đường Shenton là đường tưởng tượng được tạo bởi bờ dưới của cổ xương đùi và bờ trên lỗ bịt. Bình thường đường này cong đều và liên tục.
+ Mất sự liên tục đường Shenton là dấu hiệu của gãy cổ xương đùi, loạn sản khớp háng bẩm sinh.2. Xương bánh chè 2 mảnh
– Xương bánh chè là xương vừng lớn nhất cơ thể, phát triển từ mầm sụn và cốt hóa khi trẻ ở độ tuổi 4 – 6 tuổi. 77% trẻ em có xương bánh chè phát triển từ 1 mầm sụn, 23% các trường hợp xương bánh chè có thể có 2 hoặc 3 mầm sụn cốt hóa. Điểm cốt hóa thứ 2 xuất hiện khi bệnh nhân 12 tuổi và thường sẽ liền với phần xương chính, tuy nhiên có khoảng 2% các trường hợp không liền. Đa số các trường hợp, điểm cốt hóa thứ hai nằm ở vị trí trên ngoài của xương bánh chè. Tổn thương xương bánh chè hai mảnh xuất hiện khi điểm cốt hóa phụ của xương bánh chè không liền với xương bánh chè chính, gặp ở giai đoạn phát triển xương tuổi thiếu niên. Tỷ lệ gặp tổn thương này khoảng 2% và 50% các trường hợp bệnh nhân bị cả hai bên.
– Phân loại (Saupe): dựa trên vị trí của điểm cốt hóa thứ 2
+ Loại I ở vị trí cực dưới (5%)
+ Loại II ở bờ ngoài (20%)
+ Loại III ở trên ngoài (75%)3. Xương bánh chè 3 mảnh
– Loại II: ở viền ngoài, chiếm 20%
– Loại III: ở trên ngoài, chiếm 75%III. Dị tật chi trên
1. Thiếu xương quay
– Nguyên nhân: mẹ bị chiếu xạ, nhiễm virus, hóa chất.
– Phân loại: đầu dưới xương quay ngắn / xương quay thiểu sản / thiếu 2/3 giữa xương quay hay thiếu toàn bộ xương quay.2. Dính xương cẳng tay
– Kèm mất cơ ngửa dài, cơ sấp tròn, cơ ngửa vuông.
– Phân loại: dính hoàn toàn khớp quay trụ trên / dính một phần cổ xương quay kèm trật chỏm xương quay.3. Dị tật dính ngón
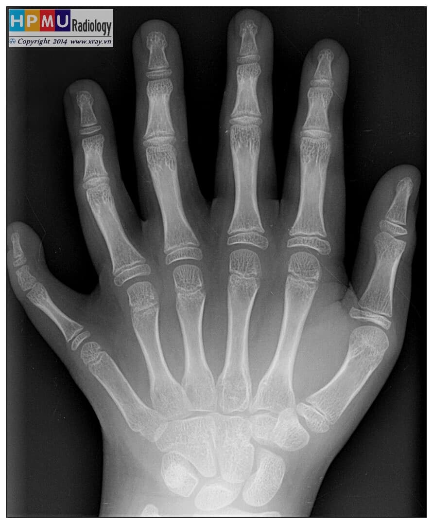
– Hay bị dính nhất là ngón 3-4, ngón 4-5, ngón 2-3 hoặc tính toàn bộ. Người da trắng bị dính nhiều hơn người da đen.4. Dị tật thừa ngón
– Đặc điểm của ngón thừa là thường nhỏ hơn, phát triển cũng kém hơn. Cấu trúc của ngón có thể chỉ là tổ chức có da bao phủ đơn thuần, có hoặc không có móng. Cũng có thể có chứa xương như những ngón bình thường khác.
+ Ngón cái thừa, ngón cái chia đôi: Phân loại Wassel: Loại I: Tách đôi ở xương đốt xa / Loại II: Hai xương đốt xa / Loại III: Tách đôi ở xương đốt gần / Loại IV: Hai xương đốt gần / Loại V: Tách đôi ở xương đốt bàn / Loại VI: Hai xương đốt bàn / Loại VII: Thừa ngón cái 3 đốt
+ Thừa ngón út: hay gặp trẻ da đen, có thể bị cả 2 bàn tay, ngón thừa nằm ở bờ trụ xương bàn tay.5. Dị tật phì đại ngón
– Hiện nay căn bệnh này vẫn là một bệnh lý khó điều trị, hầu hết điều trị chủ yếu về mặt thẩm mỹ.6. Biến dạng Madelung
IV. Dị tật cột sống
1. Rối loạn đường cong
+ Cột sống vẹo sang bên: cùng với xoay các thân đốt sống hoặc không xoay (vẹo sinh lý).
+ Cong ưỡn quá mức ra trước và sau: gù hoặc ưỡn.
– Vẹo cột sống được định nghĩa là độ cong sang một bên của cột sống trong mặt phẳng coronal. Các nguyên nhân phổ biến nhất bao gồm chứng vẹo cột sống vô căn, phổ biến hơn ở những bệnh nhân trẻ tuổi và chứng vẹo cột sống thoái hóa, gặp ở những bệnh nhân lớn tuổi. Các nguyên nhân khác bao gồm các bất thường về thần kinh cơ. Vẹo cột sống cũng có thể xảy ra thứ phát sau khối u, nhiễm trùng và chấn thương. Chụp X-quang vẫn là phương pháp chính để chẩn đoán và đánh giá chứng vẹo cột sống. Ưu điểm chính là khả năng chụp ảnh toàn bộ cột sống ở bệnh nhân tư thế đứng đồng thời giúp bác sĩ lâm sàng đánh giá được bản chất xoay của biến dạng vẹo cột sống.
+ Đốt sống giới hạn là đốt sống trên hoặc dưới nghiêng nhất trong một đường cong => được chọn để tạo góc Cobb lớn nhất.
+ Đốt sống đỉnh là đốt sống bị dịch chuyển sang bên nhiều nhất và có hướng nằm ngang nhất. Nó cũng là đốt sống quay sâu nhất và thường được tìm thấy ở đỉnh của đường cong.
+ Góc đường cong đo theo phương pháp Lippman-Cobb. Góc Cobb được mô tả lần đầu tiên vào năm 1948 bởi bác sĩ phẫu thuật chỉnh hình người Mỹ John R Cobb (1903-1967).
+ Vẹo cột sống là tình trạng cong vẹo cột sống một bên với góc Cobb >10°.
+ Cách đo góc Cobb: Xác định vùng vẹo cốt sống, xác định đốt sống giới hạn trên và dưới nghiêng nhiều nhất về phía đỉnh đường cong. Kẻ các đường tiếp tuyến với mặt phẳng trên của đốt sống giới hạn trên và mặt phẳng dưới của đốt sống giới hạn dưới. Kẻ đường thẳng vuông góc với 2 đường tiếp tuyến này, góc giao nhau của 2 đường vuông góc chính là góc Cobb (góc vẹo cột sống). Nếu bờ của thân đốt sống bị che lấp, không cho hình ảnh rõ ràng, các cuống có thể được sử dụng thay thế.
+ Mức độ vẹo cột sống: nhẹ (góc Cobb ≤ 25°), nặng (góc Cobb từ 26-45°), rất nặng (góc Cobb từ 46-60°).
phương pháp của Nash-Moe và Perdriolle có thể được sử dụng để đánh giá sự xoay trên phim x-quang thẳng. Phương pháp Nash-Moe phân sự xoay thân đốt sống thành 5 độ. Trong phương pháp này đốt sống được đánh giá sẽ được chia thành những phần đều nhau và sau đó nửa đốt sống bên lồi được chia thành 3 phần đều nhau.
+ Độ 0: Nếu các cuống của những đoạn này cách đều bờ ngoài của thân đốt sống, không có sự xoay.
+ Độ 1: hầu như cuống bên lồi vẫn còn trong 1/3 ngoài đường chia của thân đốt sống và cuống bên lõm bắt đầu biến mất.
+ Độ 2: cuống bên lồi xoay tới 1/3 giữa của phần chia thân đốt sống và cuống bên lõm biến mất.
+ Ở độ 3 cuống bên lồi xoay tới 1/3 trong của phần chia thân đốt sống và cuống bên lõm không nhìn thấy.
+ Độ 4: sự xoay của cuống bên lồi đã vượt quá đường giữa của thân đốt sống và cuống bên lõm không thấy.
+ Risser 0: không có sự cốt hóa;
+ Risser 1: sự cốt hóa của 25% ngoài
+ Risser 2: sự cốt hóa của 50% mào chậu;
+ Risser 3: sự cốt hóa của 75%
+ Risser 4: sự cốt hóa hầu hết mào chậu chưa có sự hàn với xương chậu
+ Risser 5: sự hàn xương của mào chậu cốt hóa với xương chậu.
– Hệ thống phân chia giai đoạn của Risser là thuận lợi để sử dụng trong việc đánh giá hình ảnh X-quang vẹo cột sống, bởi vì các mào chậu cũng được nhìn thấy trong phim x-quang vẹo cột sống.2. Nứt đốt sống
+ Cung sau còn mở vào lúc sinh là bình thường
+ Trong năm tuổi đầu tiên đoạn cột sống lưng – thắt lưng từ D5 đến L2 đã đóng đường tiếp. Phần cột sống trên và dưới đoạn này vẫn tồn tại khe giữa hai lá sống. Quá trình cốt hoá chưa được hoàn thiện.
+ Khoảng 4 tuổi quá trình cốt hoá đã tương đối hoàn toàn. Tuy nhiên cung sau chưa được cốt hóa hoàn toàn ở mức đốt đội, khu vực cột sống thắt lưng dưới và xương cùng nên tại đây khe sống còn tồn tại.
+ Khoảng 10 tuổi quá trình cốt hóa chỉ còn ở cùng 1 là chưa hoàn toàn.
+ Vào tuổi 17 chỉ còn khe sống giữa cùng 1 và 2 còn tồn tại. Khe sống ở khu vực này chỉ hoàn toàn cốt hoá trong độ tuổi từ 20 –30.
– Trên người bình thường có từ 10 – 20% có gai đôi.
– Chứng rối loạn cột sống có thể được phân loại rộng rãi thành loại hở và kín. Trong chứng rối loạn cột sống hở, có một lớp da mỏng hoặc khiếm khuyết lớp da bên trên và mô thần kinh tiếp xúc với môi trường. Trong chứng rối loạn cột sống kín, mô thần kinh được bao phủ bởi da. Chứng rối loạn cột sống kín có thể được phân loại thêm dựa trên sự hiện diện hay vắng mặt của khối dưới da.
– Nứt đốt sống ẩn – Gai đôi ngầm (Spinal bifida – occulta):
+ Gai đôi ngầm là những kẽ nứt của đốt sống được phát hiện trên phim X- quang không kèm theo thoát vị các tổ chức trong ống sống, đây là dạng nhẹ nhất của tật nứt đốt sống. Xuất hiện khoảng hở ở một hoặc nhiều đốt sống mà không gây tác hại rõ ràng tới tủy sống.
+ Gai đôi ngầm trước: nứt dọc đơn giản phía trước đốt sống và chia đốt sống thành hai phần.
+ Gai đôi ngầm sau: khuyết cung sau.
+ Thoát vị của một túi chứa dịch não tủy được lót bởi màng cứng và màng nhện qua khoảng hở của đốt sống.
+ Phần tủy sống không bị ảnh hưởng, hoàn toàn bình thường.
+ Thoát vị màng não sau qua vết nứt đốt sống và thường ở vị trí thắt lưng hoặc xương cùng nhưng cũng có thể xảy ra ở vùng chẩm và cổ. Thoát vị màng não trước thường ở vị trí trước xương cùng nhưng cũng có thể xảy ra ở nơi khác.
+ Đây là dạng nghiêm trọng nhất của tật nứt đốt sống, là một tật nứt đốt sống hoàn toàn, trong đó một phần tủy sống hoặc dây thần kinh lan rộng trên bề mặt da do giãn khoang dưới nhện.
+ Vị trí: vùng thắt lưng cùng ~45%, cột sống ngực ~30%, cột sống thắt lưng ~20%, cột sống cổ ~2%
+ Thường kết hợp với Arnold Chiari II, não úng thủy, nứt dọc tủy, bất sản thể chai.3. Bất thường cung sau C1
– Phân loại:
+ Type A: khe hở cung sau, thường gặp nhất, gặp ở 5,4% dân số
+ Type B: khuyết một bên cung sau
+ Type C: khuyết hai bên cung sau
+ Type D: không có cung sau, còn ụ sau
+ Type E: không có cung sau và ụ sau4. Cốt hóa mỏm nha
+ Trong gãy mỏm nha chỗ gián đoạn của mỏm nha và phần còn lại hẹp, bờ của phần tự do và phần mỏm nha còn lại không đều, không có viền đặc xương, có thể kèm theo tổn thương thân đốt C2. Phần mỏm nha gãy phù hợp với phần khiếm khuyết phần gốc và thường không có dạng hình tròn hoặc bầu dục.5. Dị dạng thân đốt sống
– Dị tật nửa thân đốt sống.
– Loạn sản thân đốt sống.
– Thường phối hợp dị dạng tủy sống.6. Rối loạn chuyển tiếp
+ Quá phát mỏm ngang C7 => giả xương sườn ở đốt sống cổ thứ 7.
+ Gặp ở 0.5% dân số, thường ở nữ giới, gặp ở 1 hoặc 2 bên.
+ Khoảng 90% không có triệu chứng, tuy nhiên có thể chèn ép vào mạch máu dưới đòn hoặc đám rối cổ gây đau, yếu tay hoặc phù bàn tay.
+ Hình dáng và kích thước xương sườn cổ 7 rất thay đổi. Có khi chỉ là mẩu xương con, có khi là cả một xương sườn dài nối với xương sườn 1 ở phía trước.
+ Là một biến thể giải phẫu hiếm với tỷ lệ khoảng 1% dân số.
+ Xương sườn thắt lưng thường phát sinh từ đốt sống thắt lưng đầu tiên.
+ Phát sinh thêm xương sườn thứ 13 tiếp khớp với thân đốt L1 hoặc T13 (tùy theo cách phân loại), mỏm phát sinh thêm thường ngắn, có thể 1 hoặc 2 bên.
+ Là hiện tượng mỏm ngang đốt sống thắt lưng L5 tạo khớp giả hoặc dính liền với khối xương cùng, xảy ra trong 17% dân số.
+ Loại I: quá phát và loạn sản mỏm ngang L5 (ít nhất là 19 mm). Có thể 1 bên (Ia) hoặc 2 bên (Ib)
+ Loại II: khớp giả của mỏm ngang L5 với S1. Có thể 1 bên (IIa) hoặc 2 bên (IIb).
+ Loại III: dính mỏm ngang L5 với S1. Có thể 1 bên (IIIa) hoặc 2 bên (IIIb).
+ Loại IV: dính mỏm ngang L5 với S1 ở một bên (IIa) và tạo khớp giả gai ngang L5 với S1 bên đối diện (IIIa).7. Hở eo

– Hở eo (Spondylolysis) nguyên nhân là sự cốt hoá không đầy đủ ở phần cuống sống, thường gặp ở đốt sống L4, L5.
– Hình ảnh hở eo đốt sống thấy được trên phim chụp cột sống chếch 3/4 với dấu hiệu “chó đeo vòng cổ”. Hở eo đốt sống thường gây trượt đốt sống.8. Khuyết tật MPS
– Bệnh di truyền lặn trên nhiễm sắc thể thường trừ thể MPS II là di truyền lặn trên nhiễm sắc thể giới tính X.
– Bệnh gây tổn thương đa cơ quan và tiến triển tăng dần dẫn đến tàn phế hoặc tử vong sớm trước 10 tuổi.
– Bệnh được chia thành nhiều thể phụ thuộc enzym thiếu hụt.
+ Thể MPS I: Do thiếu hụt enzym α -L-Iduronidase => Hội chứng Hurler, hội chứng Hurler – Scheie, hội chứng Scheie.
+ Thể MPS II (hội chứng Hunter): Do thiếu hụt Iduronate-2-sulfatase.
+ Thể MPS III (hội chứng Sanfilippo): do thiếu các enzym heparan N-sulfatase (týp A), α-Nacetylglucosaminidase (týp B); α-glucosaminide acetyltransferase (týp C), N-acetyl glucosamine 6-sulfatase (týp D).
+ Thể MPS IV: Do thiếu hụt Galactose 6-sulfatase (gây hội chứng Morquio A), thiếu Β – Galactosidase (hội chứng Morquio B).
+ Thể MPS VI (hội chứng Maroteaux-Lamy): Do thiếu hụt Arylsulfatase B.
+ Thể MPS VII (hội chứng Sly): Do thiếu hụt Β- Glucuronidase.
+ Thể MPS IX (hội chứng Natowicz): Do thiếu hụt Hyaluronidase.
– Triệu chứng lâm sàng: bộ mặt thô, biến dạng xương, cứng khớp, chậm phát triển tinh thần, gan lách to, giảm thị lực, giảm thính lực, thoát vị bẹn hoặc rốn, tổn thương van tim, tiến triển bệnh tăng dần.
– Xét nghiệm: định lượng GAGs trong nước tiểu tăng cao. Đo hoạt độ các enzym đặc hiệu (tùy theo thể) trong bạch cầu lympho máu ngoại vi hoặc trong nguyên bào sợi nuôi cấy giảm nhiều. Phân tích phân tử tìm đột biến các gen gây bệnh.
+ Xương hộp sọ: xương hộp sọ to, thuôn dài, mào trán thẳng đứng, hố yên hình chữ J bất thường, vỏ xương dày lên. Xoang chũm và xoang cạnh mũi không được thông khí. Góc hàm dưới tù với hàm nhô ra ngoài, các răng cách nhau rộng.
+ Xương lồng ngực: xương sườn hình mái chèo, xương đòn ngắn và dày.
+ Cột sống: hẹp và chèn ép tủy sống ở chỗ nối sọ và cột sống, dị tật của thân đốt sống.
+ Xương chậu: xương cánh chậu tròn, thuôn nhỏ dần xuống dưới, loạn sản khớp háng, ổ cối kém phát triển, phần trong của đầu trên xương đùi kém phát triển.
+ Xương dài: đầu xương giảm sản nhẹ.
+ Bàn tay, bàn chân: xương bàn tay và xương bàn chân nhọn ở đầu gần, các đốt ngón tay hình viên đạn.9. Nang Tarlov
– Nguyên nhân: gây ra nang Tarlov chưa được xác định. Một số giả thuyết tồn tại bao gồm các nang được hình thành từ quá trình viêm trong bao rễ thần kinh hoặc chấn thương bao rễ thần kinh và gây rò rỉ dịch não tủy vào khu vực mà nang hình thành. Nhiều nhà nghiên cứu tin rằng có sự thông thương bất thường bẩm sinh giữa khoang dưới nhện, nơi chứa dịch não tủy và vùng xung quanh dây thần kinh bị ảnh hưởng. Sự thông thương có thể giữ nguyên hoặc đóng lại, sau khi để dịch não tủy rò rỉ ra ngoài và tạo thành nang. Vì nang Tarlov chứa dịch não tủy, nhiều nhà nghiên cứu cho rằng sự dao động bình thường của áp suất dịch não tủy có thể dẫn đến gia tăng kích thước của nang và tăng khả năng phát triển các triệu chứng.
– Nang Tarlov thường kích thước nhỏ, không triệu chứng chiếm khoảng 5-9% dân số. Còn nang lớn gây triệu chứng rất hiếm gặp.
– Nữ nhiều hơn nam, đa số ở 31-60 tuổi. 33% xuất hiện ở những vị trí của cơ thể, trong đó phổ biến nhất là ở bụng, bàn tay và cổ tay.10. Hội chứng Klippel – Feil
– Sự gắn liền đốt sống cổ có thể lan rộng ra cả đoạn đốt sống lưng trên gây ra loạn sản tuỷ sống.
– Biểu hiện lâm sàng: yếu cơ, co cứng tay và chân hay một kiểu rối loạn vận động đặc biệt là không thể tách rời vận động của hai tay. Vận động của mỗi tay được tay bên kia sao chép, người ta cho rằng triệu chứng này xuất hiện do khuyết tật không bắt chéo bó tháp gây nên.
– Vị trí tổn thương:
+ C2-C3: 50%
+ C5-C6: 33%
+ Chỗ nối sọ – đốt sống cổ (CVJ) và cột sống ngực trên
– Phân loại:
+ Loại 1 (9%): Hợp nhất của cột sống cổ và ngực trên, thường gây suy giảm thần kinh nghiêm trọng.
+ Loại 2 (84%): Hợp nhất của ≥ 1 khe đĩa đệm đốt sống cổ
+ Loại 3 (7%): Hợp nhất liên quan đến đốt sống cổ và đốt sống ngực/thắt lưng dưới
– Đặc điểm hình ảnh:
+ Các thân đốt sống có kích thước nhỏ hơn bình thường với đường viền thuôn nhọn tại khe đĩa đệm hợp nhất.
+ 1 hoặc nhiều mức độ đốt sống hợp nhất với khe đĩa đệm hẹp.
+ Hợp nhất các khớp liên mấu, mỏm gai
+ Phim gập/duỗi => thiếu chuyển động giữa các đoạn hợp nhất, tăng khả năng di động ở các mức độ không hợp nhất
Tài liệu tham khảo
* Dị tật xương khớp – PGS. Nguyễn Đức Phúc
* The Ribs: Anatomic and Radiologic Considerations – Yasuyuki Kurihara, MD, Yoshiko K. Yakushiji, MD
* Keep Your Eyes on the Ribs: The Spectrum of Normal Variants and Diseases That Involve the Ribs – Adam R. Guttentag, MD, and Julia K. Salwen, MD
* Pediatric Ribs: A Spectrum of Abnormalities – Ronald B. J. Glass, MD, Karen I. Norton, MD
* Imaging Update on Developmental Dysplasia of the Hip With the Role of MRI – Vanessa Starr and Bo Yoon Ha
* Developmental Dysplasia of the Hip – Ultrasound – Simon Robben and Robin Smithuis
* Imaging Evaluation of Developmental Hip Dysplasia in the Young Adult – Luis S. Beltran, Zehava S. Rosenberg
* Grainger & Allison’s Diagnostic Radiology, 6th Editon – Andreas Adam, Adrian K. Dixon, Jonathan H. Gillard
* Diagnostic Imaging: Musculoskeletal Non-Traumatic Disease, 3e (2022) – Davis, Blankenbaker, Bernard
* Radiology of ribs: Spectrum of normal variants and pathological conditions – Emphasis on chest radiograph – K. Kalidos
* Radiographic Evaluation of Scoliosis: Review – David Malfair, Anne K. Flemming, Marcel F. Dvorak
* Scoliosis Imaging: What Radiologists Should Know – Hana Kim, Hak Sun Kim, Eun Su Moon































# Cập nhật nội dung bài viết & Case lâm sàng 13/12/2024
# Cập nhật nội dung bài viết & Case lâm sàng 10/4/2024
# Cập nhật nội dung bài viết & Case lâm sàng 9/3/2024