I. Đại cương
– Ung thư xương nguyên phát có 3 loại chính: ung thư mô liên kết sụn (chondrosarcoma), ung thư mô liên kết tạo cốt bào (osteosarcoma) và ung thư mô liên kết xương (Ewing’s sarcoma – chiếm 16%).
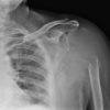
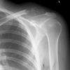
– Là khối u xương nguyên phát ác tính phổ biến thứ 2 ở tuổi thiếu niên sau sarcoma xương, thường phát sinh từ khoang tủy với sự xâm lấn của hệ thống Haversian.
– Tuổi thường gặp 5-30 tuổi, 80% < 20 tuổi. Tỷ lệ nam:nữ = 1.5:1
– Ewing sarcoma chủ yếu ảnh hưởng đến bệnh nhân da trắng. Tại Hoa Kỳ, tỷ lệ mắc bệnh ở người châu Á/Thái Bình Dương chỉ bằng một nửa so với người da trắng, trong khi tỷ lệ mắc bệnh ở người da đen chỉ bằng một phần chín so với người da trắng.
– Ewing’s sarcoma được đặt theo tên của Tiến sĩ James Ewing (1866-1943), người đã mô tả các khối u này năm 1920. Nó là một loại ung thư xương nguyên phát có thể phát triển ở bất cứ xương nào trong cơ thể (và thường khởi phát ở các đĩa tăng trưởng).
– Ewing’s sarcoma cũng có thể khởi phát trước trong các mô mềm hơn là bắt đầu từ xương, mặc dù điều này không phổ biến (xảy ra trong khoảng 1% trường hợp). Trường hợp này được gọi là ung thư Ewing ngoại vi xương (extraosseous Ewing’s sarcoma).
– Triệu chứng của Ewing sarcoma thường không đặc hiệu, với đau tại chỗ là triệu chứng phổ biến nhất. Đôi khi có thể sờ thấy khối mô mềm. Các gãy xương bệnh lý cũng có thể xảy ra. Các triệu chứng toàn thân bao gồm sốt có thể xuất hiện. Mức độ ESR và LDH trong huyết thanh cũng tăng cao.
– Điều trị phối hợp hóa trị liệu, phẫu thuật tại chỗ, tia xạ. 50% gặp ở thân các xương dài nên phẫu thuật khó khăn.
Tài liệu tham khảo
* Ewing Sarcoma Family of Tumors: Radiologic-Pathologic Correlation – Mark D. Murphey, MD, Lien T. Senchak, MD
* Imaging features of Ewing’s sarcoma: Special reference to uncommon features and rare sites of presentation – Sujata Patnaik, Jyostnarani Yarlagadda, Rammurti Susarla
* From the Radiologic Pathology Archives: Ewing Sarcoma Family of Tumors: Radiologic-Pathologic Correlation – Mark D. Murphey , Lien T. Senchak, Pramod K. Mambalam
* Radiological study of Ewing´s sarcoma – A. I. Fernández Martín; Salamanca/ES
* Ewing’s Sarcoma Head to toe – R. M. S. V. Vadapalli, K. R. Harsha Vardhana, A. Boyapati; Hyderabad/IN
* Imaging assessment of pediatric Ewing’s sarcoma – G. Sapouridis
* Diagnostic Imaging: Musculoskeletal Non-Traumatic Disease, 3e (2022) – Davis, Blankenbaker, Bernard
* Sarcoma de Ewing: Revisión de hallazgos radiológicos con énfasis en la RM y evaluación postratamiento – A. Bermejo Moríñigo, C. Holguera Blázquez, C. Merino Sánchez; Madrid/ES
* The role of Imaging in Ewing sarcoma – D. Beomonte Zobel
* Rare forms of Ewings sarcoma: A pictorial review – N. Mohan, S. Abraham, K. G. Gopakumar, S. M. Koshy, P. Kusumakumary, K. Ramachandran; Thiruvananthapuram/IN












# Cập nhật nội dung bài viết & Case lâm sàng 19/12/2024