THẦN KINH
Hiển thị 121–140 của 885 kết quảĐã sắp xếp theo mới nhất
-

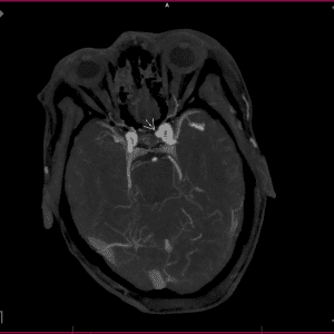
Phình ĐM não
Lượt xem: 193» 24-11-2020 -

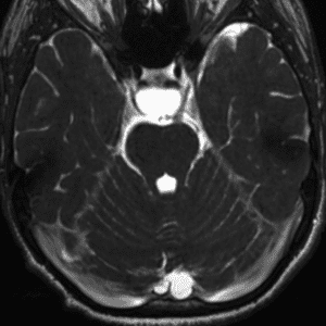
U TK vận nhãn
Lượt xem: 250» 19-11-2020 -

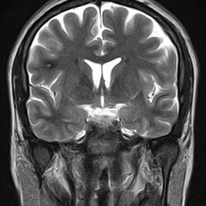
Cavernoma
Lượt xem: 212» 18-11-2020 -

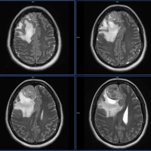
U màng não
Lượt xem: 213» 17-11-2020 -

Tụ máu não thất
Lượt xem: 262» 17-11-2020 -

U dây VIII
Lượt xem: 171» 17-11-2020 -

Nhồi máu não
Lượt xem: 323» 17-11-2020 -

Apxe não
Lượt xem: 331» 12-11-2020 -

Nang màng nhện
Lượt xem: 173» 12-11-2020 -

Nang màng nhện
Lượt xem: 229» 06-11-2020 -

Nang màng nhện
Lượt xem: 171» 06-11-2020 -

Chấn thương sọ não
Lượt xem: 239» 06-11-2020 -

U màng nội tủy
Lượt xem: 151» 05-11-2020 -

Hygroma
Lượt xem: 223» 05-11-2020 -

U màng não tủy
Lượt xem: 164» 05-11-2020 -

U tủy sống
Lượt xem: 180» 05-11-2020 -

U màng não tủy
Lượt xem: 123» 03-11-2020 -

DNET
Lượt xem: 217» 27-10-2020 -

Nang thượng bì
Lượt xem: 549» 26-10-2020 -

Nang màng nhện
Lượt xem: 140» 26-10-2020



















