THẦN KINH
Hiển thị 881–885 của 885 kết quảĐã sắp xếp theo mới nhất
-

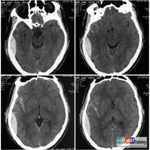
Chấn thương sọ não
Lượt xem: 7» 29-10-2018 -

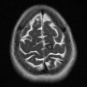
Cavernoma
Lượt xem: 245» 29-10-2018 -

Vỡ xương hộp sọ
Lượt xem: 208» 29-10-2018 -

Thông động tĩnh mạch não
Lượt xem: 264» 29-10-2018 -

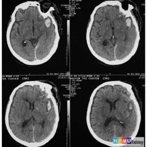
Chấn thương sọ
Lượt xem: 228» 29-10-2018




