THẦN KINH
Hiển thị 561–580 của 885 kết quảĐã sắp xếp theo mới nhất
-

Thông động tĩnh mạch não
Lượt xem: 119» 19-03-2019 -

Viêm tai xương chũm
Lượt xem: 475» 17-03-2019 -

Apxe ngoài màng cứng
Lượt xem: 136» 10-03-2019 -

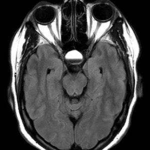
Chảy máu tuyến yên
Lượt xem: 165» 08-03-2019 -

Chảy máu tuyến yên
Lượt xem: 175» 08-03-2019 -

Chảy máu tuyến yên
Lượt xem: 131» 08-03-2019 -

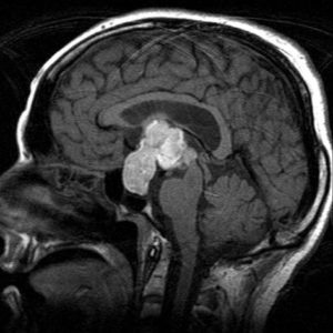
Tăng sản tuyến yên
Lượt xem: 151» 08-03-2019 -

Tăng sản tuyến yên
Lượt xem: 123» 08-03-2019 -

Tụ máu ngoài màng cứng
Lượt xem: 157» 03-03-2019 -

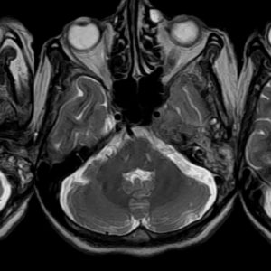
Chiari
Lượt xem: 116» 03-03-2019 -

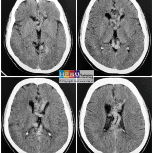
Chảy máu dưới nhện
Lượt xem: 265» 03-03-2019 -

Nang màng nhện
Lượt xem: 121» 02-03-2019 -

Tụ dịch dưới màng cứng
Lượt xem: 512» 02-03-2019 -

Chordoma
Lượt xem: 209» 02-03-2019 -

U sợi thần kinh
Lượt xem: 156» 02-03-2019 -

Loạn sản vỏ não
Lượt xem: 212» 17-02-2019 -

Loạn sản vỏ não
Lượt xem: 179» 17-02-2019 -

Loạn sản vỏ não
Lượt xem: 320» 17-02-2019 -

Nang vách trong suốt
Lượt xem: 709» 15-02-2019 -

Tổn thương sợi trục
Lượt xem: 153» 11-02-2019



















