THẦN KINH
Hiển thị 521–540 của 885 kết quảĐã sắp xếp theo mới nhất
-

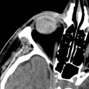
Chấn thương nhãn cầu
Lượt xem: 161» 25-05-2019 -

Rò ĐM cảnh xoang hang
Lượt xem: 165» 25-05-2019 -

Chấn thương nhãn cầu
Lượt xem: 178» 25-05-2019 -

Chấn thương nhãn cầu
Lượt xem: 150» 24-05-2019 -

Nang màng nhện
Lượt xem: 130» 11-05-2019 -

U dây thần kinh V
Lượt xem: 446» 08-05-2019 -

U vùng tuyến tùng
Lượt xem: 152» 05-05-2019 -

Di căn màng cứng
Lượt xem: 116» 22-04-2019 -

U màng não thất
Lượt xem: 135» 21-04-2019 -

U bao dây thần kinh
Lượt xem: 141» 17-04-2019 -

Vôi hóa màng cứng
Lượt xem: 133» 17-04-2019 -

Huyết khối tĩnh mạch não
Lượt xem: 139» 15-04-2019 -

Di căn não
Lượt xem: 114» 13-04-2019 -

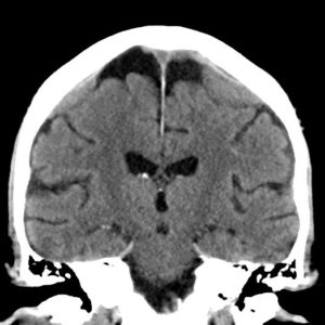
Chảy máu nhu mô não
Lượt xem: 134» 10-04-2019 -

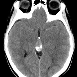
Nhồi máu não
Lượt xem: 204» 07-04-2019 -

Củ lao
Lượt xem: 131» 28-03-2019 -

Củ lao
Lượt xem: 151» 28-03-2019 -

Tụ máu dưới màng cứng
Lượt xem: 156» 27-03-2019 -

Tụ máu dưới màng cứng
Lượt xem: 137» 27-03-2019 -

Nang Rathke
Lượt xem: 118» 27-03-2019



















