THẦN KINH
Hiển thị 481–500 của 885 kết quảĐã sắp xếp theo mới nhất
-

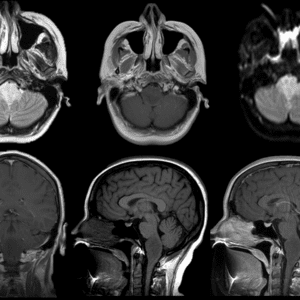
U thần kinh đệm thân não
Lượt xem: 151» 07-06-2019 -

Thông động tĩnh mạch não
Lượt xem: 150» 07-06-2019 -

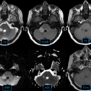
U nang thượng bì
Lượt xem: 156» 07-06-2019 -

Nang màng nhện
Lượt xem: 113» 07-06-2019 -

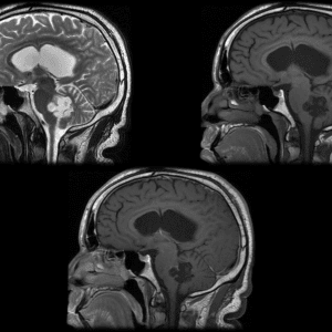
U tuyến tùng
Lượt xem: 158» 07-06-2019 -

Toxoplasmosis
Lượt xem: 129» 07-06-2019 -

Hội chứng PRES
Lượt xem: 211» 07-06-2019 -

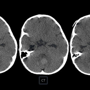
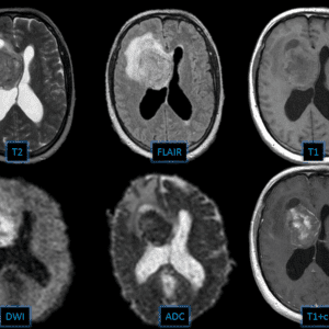
Di căn não
Lượt xem: 251» 07-06-2019 -

U sọ hầu
Lượt xem: 215» 07-06-2019 -

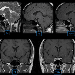
U tuyến yên
Lượt xem: 241» 07-06-2019 -

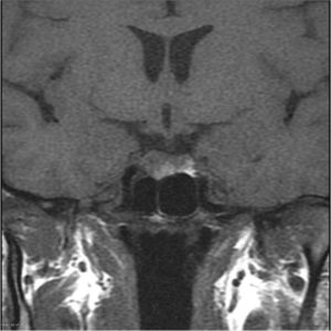
U tuyến yên
Lượt xem: 243» 07-06-2019 -

U tuyến yên
Lượt xem: 216» 07-06-2019 -

U tuyến yên
Lượt xem: 237» 07-06-2019 -

U màng não
Lượt xem: 187» 07-06-2019 -

U màng não
Lượt xem: 108» 07-06-2019 -

Xơ cứng mảng
Lượt xem: 207» 07-06-2019 -

U nang bì
Lượt xem: 220» 07-06-2019 -

U màng não thất
Lượt xem: 184» 07-06-2019 -

U thần kinh trung ương
Lượt xem: 188» 03-06-2019 -

Sán não
Lượt xem: 182» 03-06-2019



















