THẦN KINH
Hiển thị 421–440 của 885 kết quảĐã sắp xếp theo mới nhất
-

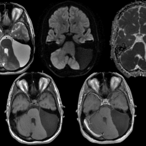
U hạch thần kinh đệm
Lượt xem: 355» 14-06-2019 -

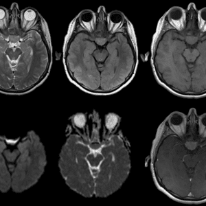
U sọ hầu
Lượt xem: 232» 14-06-2019 -

Chiari
Lượt xem: 336» 14-06-2019 -

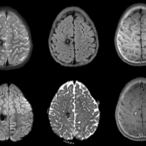
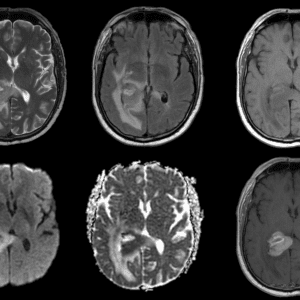
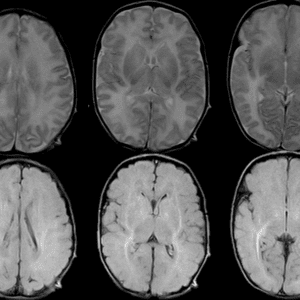
Cavernoma
Lượt xem: 388» 14-06-2019 -

U TK đệm thân não
Lượt xem: 371» 14-06-2019 -

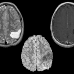
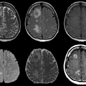
Di căn não
Lượt xem: 331» 14-06-2019 -

Apxe não
Lượt xem: 312» 14-06-2019 -

U não thất
Lượt xem: 202» 14-06-2019 -

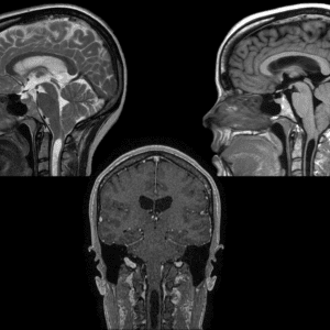
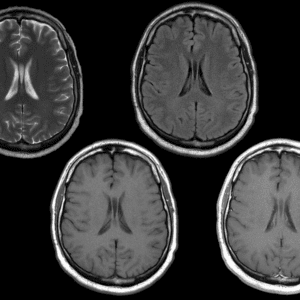
Nang vách trong suốt
Lượt xem: 536» 13-06-2019 -

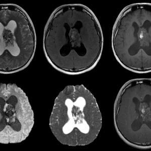
Lymphoma não
Lượt xem: 215» 13-06-2019 -

Nang màng nhện
Lượt xem: 181» 13-06-2019 -

U màng não
Lượt xem: 249» 13-06-2019 -

Nang màng nhện
Lượt xem: 182» 13-06-2019 -

U màng não
Lượt xem: 97» 13-06-2019 -

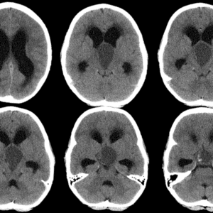
Thiếu oxy não
Lượt xem: 453» 13-06-2019 -

U tế bào hình sao
Lượt xem: 232» 13-06-2019 -

U tế bào hình sao
Lượt xem: 206» 13-06-2019 -

Viêm màng não
Lượt xem: 359» 13-06-2019 -

Thông động tĩnh mạch não
Lượt xem: 219» 13-06-2019 -

Nhồi máu não
Lượt xem: 316» 13-06-2019



















