Thương tổn sợi trục lan tỏa (Diffuse axonal injury – DAI) được gây nên bởi sự cắt vi thể của những sợi thần kinh não. Bệnh nhân mất tri giác và vẫn trong tình trạng hôn mê trong một thời gian kéo dài. Mặc dù chụp cắt lớp vi tính không cho thấy một thương tổn khối (mass lesion), nhưng bệnh nhân có tỷ lệ tử vong trên 33%…
BỆNH LÝ HỆ THẦN KINH

Đụng Dập Nhu Mô Não | Bài giảng CĐHA *
Đụng dập nhu mô não là tổn thương bề mặt não liên quan với chấm xám vỏ não. Do sự va chạm giữa nhu mô não với xương sọ hay màng cứng hoặc tổn thương dạng trượt, do vỏ não gắn chặt vào màng não, nhu mô não bên dưới vỏ não chuyển động tự do hơn so với vỏ vỏ não, gây tổn thương não. Tổn thương hay gặp ở thùy thái dương, thùy trán, cạnh đường giữa hoặc ngay tại vùng vỡ, lún sọ…
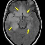
Hội Chứng Arnold-Chiari | Bài giảng CĐHA *
Dị tật bẩm sinh bản lề chẩm cổ (Chiari Malformation) là một sự bất thường của não bộ. Trong rối loạn này, các cấu trúc phần sau của não, chất lỏng xung quanh não thoát vị qua lỗ lớn ở đáy sọ (lỗ chẩm) và xuống cột sống. Dị tật Arnold Chiari có thể khiến dòng chảy này bị tắc nghẽn, được gọi là não úng thủy. Dị tật này được cho là bẩm sinh mặc dù nó có thể không gây ra triệu chứng. Nguyên nhân của dị tật chưa được xác định…
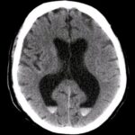
Chảy Máu Não Thất | Bài giảng CĐHA
Chảy máu não thất (intraventricular hemorrhage) nguyên phát ám chỉ đến việc chảy máu được giới hạn trong hệ thống não thất bên trong não. Chảy máu não thất nguyên phát không phổ biến, chỉ chiếm khoảng 3% tất cả các trường hợp chảy máu não. Chảy máu não thất xảy ra thường xuyên hơn trong bệnh cảnh chảy máu não hoặc chảy máu dưới nhện (chảy máu não thất thứ phát)…
Viêm Não | Bài giảng CĐHA
Viêm não là tình trạng viêm của nhu mô não, biểu hiện bằng sự rối loạn chức năng thần kinh-tâm thần khu trú hoặc lan tỏa. Đây là một tình trạng bệnh lý nặng nề đe dọa tính mạng bệnh nhân. Viêm não có thể biểu hiện dưới hai thể khác nhau: thể tiên phát và thể thứ phát. Viêm não tiên phát thường nặng nề hơn trong khi viêm não thứ phát thường gặp hơn. Tuy nhiên do thể thứ phát thường nhẹ nhàng hơn nên trong số các trường hợp nhập viện, viêm não tiên phát chiếm đa số…



