Ung thư di căn não (Cerebral Metastases) chiếm khoảng một phần tư đến một nửa khối u nội sọ, ở những bệnh nhân nhập viện. Các vị trí hay cho di căn nhất là phổi, vú, da (melanoma), thận, và đường tiêu hóa, chiếm khoảng 80% của tất cả các di căn. Thường các ổ di căn của não xuất hiện khi ung thư đã lan tràn đến các nơi khác. Hiếm khi các ổ di căn này biểu hiện đơn độc như một khối u não nguyên phát…
BỆNH LÝ HỆ THẦN KINH

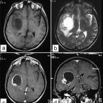
Apxe Não | Bài giảng CĐHA *
Apxe não là tổn thương nhiễm trùng hệ thần kinh trung ương khu trú thường gặp nhất, hầu hết do vi khuẩn. Apxe do lan từ đường máu, lan trực tiếp (từ các xoang cạnh mũi và xương chũm) hoặc do viêm màng não. Apxe nội sọ chiếm 5% các khối choán chỗ nội sọ và có tỉ lệ tử vong rất cao. Bệnh nhân thường có bất thường thần kinh liên quan với khối choán chỗ lớn nhanh và các dấu hiệu toàn thể của nhiễm trùng thường bị bỏ qua…
Viêm Màng Não | Bài giảng CĐHA *
Viêm màng não là bệnh chứng do viêm lớp màng mỏng bao bọc não và hệ thần kinh cột sống. Đa số là do vi trùng hay siêu vi trùng từ nơi khác trong cơ thể qua máu lan vào dịch não tủy, nhưng một số rất ít cũng có thể do loại nấm hay ký sinh trùng. Một số khác do phản ứng với hóa chất hay bệnh tự miễn…
Tiếp Cận Chẩn Đoán U Não | Bài giảng CĐHA
Khi chẩn đoán một khối u não cần phân tích các đặc điểm sau: Tuổi của bệnh nhân: vì các khối u khác nhau xảy ra ở các nhóm tuổi khác nhau. Vị trí của tổn thương: nó nằm trong hay ngoài trục và thuộc vùng giải phẫu nào? Tổn thương đơn độc hay đa ổ. Đặc điểm hình ảnh: thành phần vôi hóa, chất béo, thành phần nang, tính chất ngấm thuốc. Ngoài ra cần loại trừ các tổn thương giả u….
Nang Màng Nhện | Bài giảng CĐHA *
Nang màng nhện (Arachnoid cyst) là một tổn thương dạng nang chứa dịch não tủy, chủ yếu do bẩm sinh do sự phân tách bất thường của màng nhện trong thời kỳ bào thai. Nang màng nhện mắc phải thường xảy ra sau chấn thương, xuất huyết hoặc nhiễm trùng hệ thần kinh trung ương…




