I. Đại cương
– Viêm phổi (Pneumonia) là một bệnh cảnh lâm sàng do tình trạng thương tổn tổ chức phổi (phế nang, tổ chức liên kết kẻ và tiểu phế quản tận cùng), chủ yếu ảnh hưởng đến các túi khí nhỏ được gọi là phế nang. Viêm phổi thường gây ra bởi hiện tượng nhiễm trùng do nhiều tác nhân như virus, vi khuẩn, nấm và các vi sinh vật khác như ký sinh trùng thì ít phổ biến hơn. Ngoài ra viêm phổi cũng do nguyên nhân từ hóa chất độc hại
– Viêm phổi là bệnh phổ biến ảnh hưởng khoảng 450 triệu người trên khắp toàn cầu. Đây là căn bệnh gây tử vong ở mọi nhóm tuổi với số ca lên đến 4 triệu người, chiếm 7% dân số thế giới mỗi năm. Tỉ lệ này lớn nhất ở trẻ dưới 5 tuổi, và người già hơn 75 tuổi.
– Từ phổi, vi trùng Pneumococcus có thể vào máu, gây nhiễm trùng máu (bacteremia), rồi theo đường máu đến các cơ quan khác (màng não, tim, khớp…). Một khi nhiễm trùng máu hoặc viêm màng não xảy ra, tử vong sẽ rất cao.
  NỘI DUNG WEB
» 422 Bài giảng chẩn đoán hình ảnh
» X-quang / Siêu âm / CT Scan / MRI
» 25.000 Hình ảnh case lâm sàng
  ĐỐI TƯỢNG
» Kỹ thuật viên CĐHA
» Sinh viên Y đa khoa
» Bác sĩ khối lâm sàng
» Bác sĩ chuyên khoa CĐHA
  Nội dung Bài giảng & Case lâm sàng thường xuyên được cập nhật !
  Đăng nhập Tài khoản để xem Nội dung Bài giảng & Case lâm sàng !!!
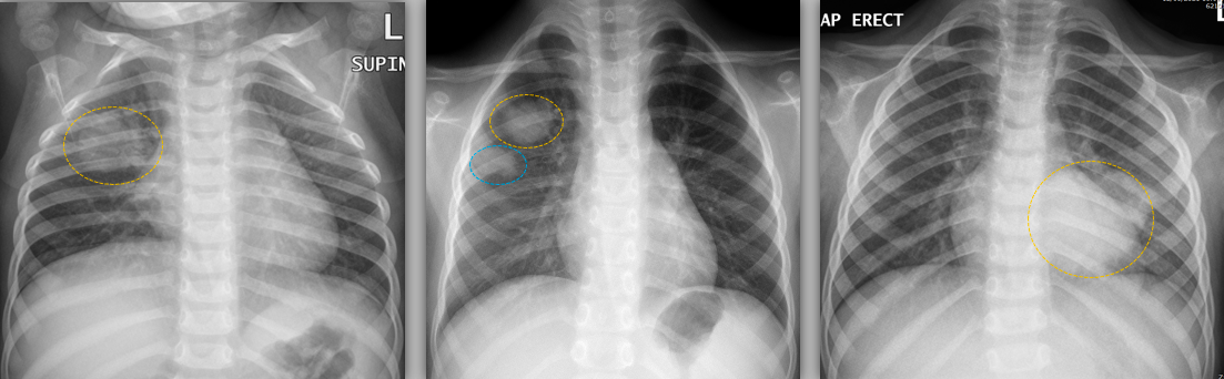
* Viêm phổi thùy (Lobar pneumonia) – Viêm phổi thường do phế cầu. Tổn thương bắt đầu ở khoảng khí đoạn xa, lan theo lỗ Kohn và ống Lamber, tạo các vùng đông đặc do tổn thương khoảng khí. Sau đó tổn thương lan rộng toàn bộ hoặc một phần thùy phổi. – Thấy dấu hiệu khí phế quản đồ (Air bronchogram sign): dấu hiệu chỉ các tổn thương lấp đầy lòng phế nang. Biểu hiện các vệt sáng, chia nhánh (phế quản) đi qua một vùng nhu mô phổi mờ, không có không khí do phế nang đã bị lấp đầy bởi dịch (viêm phổi). Cũng có thể thấy hình ảnh này trong xẹp phổi không do tắc nghẽn phế quản trung tâm. – Hình ảnh cổ điển của viêm phổi thùy hiện nay ít gặp một phần do sử dụng kháng sinh sớm ngăn trở tiến trình phát triển, quá trình đông đặc không lan rộng toàn bộ thùy phổi mà có thể chỉ dừng lại ở các phân thùy phổi. => Case lâm sàng 1: => Case lâm sàng 2: – Viêm thùy giữa phổi phải hoặc phân thùy lưỡi phổi trái theo dấu hiệu bóng bờ sẽ xóa bờ tim. * Viêm phế quản phổi (Bronchopneumonia) – Nguyên nhân thường do tụ cầu. * Viêm tiểu phế quản (Bronchiolitis) – Chỉ tình trạng viêm nhiễm của các tiểu phế quản có đường kính < 2mm. – Viêm phổi kẽ – Ứ khí phế nang: tổn thương dạng khảm – Tổn thương kính mờ – Đông đặc phân thùy: 10-25% – Xẹp phổi: thùy trên phổi phải thường gặp nhất. => Case lâm sàng 1: => Case lâm sàng 2: => Case lâm sàng 3: => Case lâm sàng 4: * Viêm phổi mô kẽ (Interstitial pneumonia) – Nguyên nhân hay gặp do virus, nấm * Viêm phổi không điển hình – Viêm phổi không điển hình (Primary atypical pneumonia) hình ảnh biểu hiện các bóng mờ nhỏ, không đồng nhất, lan tỏa hoặc khu trú, phân bố đồng đều. * Viêm phổi tròn (Round Pneumonia) – Viêm phổi tròn đôi khi gây ra nốt phổi đơn độc, chiếm dưới 1% “tổn thương hình đồng xu”. – Các triệu chứng lâm sàng của viêm phổi tròn có thể nhẹ, giống như hội chứng virus hoặc viêm phế quản. Một số bệnh nhân bị viêm phổi tròn không có triệu chứng lúc ban đầu, mặc dù khám lâm sàng cẩn thận có thể thấy bệnh sử ho và sốt nhẹ 1 tuần hoặc hơn trước khi biểu hiện bệnh. – Đặc điểm X quang: hình ảnh chung có thể ở phạm vi từ khối mờ nhỏ đến lớn, hình tròn, giới hạn kém rõ. Tổn thương của viêm phổi tròn không nhất thiết hình tròn; có thể thấy tổn thương hình oval. Bờ có thể trơn láng trên X quang, đôi khi có múi hoặc có thể không đều hoặc có gai. Viêm phổi tròn thường ở thùy dưới. => Case lâm sàng 1: => Case lâm sàng 2: => Case lâm sàng 3: – Hình ảnh CT: viêm phổi tròn gồm khối có đậm độ mô mềm không đồng nhất, có hình khí phế quản đồ, dày màng phổi và các tổn thương vệ tinh. => Case lâm sàng 1: => Case lâm sàng 2: * Viêm phổi hoại tử – Là một biến chứng có thể xảy ra với viêm phổi hoại tử nặng, hiếm gặp ở cả trẻ em và người lớn. => Case lâm sàng 1: => Case lâm sàng 2: * Viêm phổi do phế cầu – Là vi khuẩn thường gặp nhất gây viêm phổi ở tất cả các độ tuổi, thường gặp ở người trẻ tuổi. => Case lâm sàng 1: * Viêm phổi do tụ cầu – Thường gặp ở bệnh nhân suy yếu hoặc nhiễm trùng bội nhiễm trong cúm => Case lâm sàng 1: * Viêm phổi do Klebsiella – Còn gọi là viêm phổi Freilander, thường gặp ở người già, suy kiệt, tiểu đường, viêm phế quản phổi mạn tính * Viêm phổi do vi khuẩn kị khí – Thường gặp ở bệnh nhân có bệnh lý phổi trước đó, viêm quanh răng, viêm lợi * Viêm phổi do nấm (Fungal pneumonia) – Histoplasma Capsulatum: dạng nốt đơn độc bờ rõ, kích thước < 3cm, có ngấm vôi, nằm ở thùy dưới, còn gọi là u nấm Histoplasma. Trường hợp mạn tính, tổn thương xơ, tạo hang ở thùy trên kèm xẹp phổi ở một hoặc hai bên. Biểu hiện ít gặp hơn là viêm trung thất mạn tính xơ hóa, có thể chèn ép tĩnh mạch chủ trên, khí phế quản, thực quản, mạch máu – Coccidioides Immitis: giai đoạn sớm, có hình ảnh đông đặc phổi phát triển chủ yếu ở thùy dưới, có thể đồng nhất, lốm đốm, phân bố theo phân thùy hay không theo phân thùy phổi. Có thể kèm theo tràn dịch màng phổi và hạch lớn. Nếu bệnh kéo dài, tổn thương có thể biểu hiện dạng nốt, thường một nốt hoặc nhiều, kích thước 0.5-5cm, ở vùng giữa và trên của phổi. Hoặc tạo hang. Giai đoạn mạn tính biểu hiện giống như hình ảnh lao phổi mạn tính. Bệnh có thể phát tán theo đường máu với hình ảnh tổn thương dạng kê. – Candida: hình ảnh đông đặc phổi, các đám mờ không đồng nhất, dạng đốm, bờ không rõ nằm ở một hay hai bên. Tràn dịch màng phổi có thể gặp, nhưng hạch lớn và tạo hang ít gặp. Tổn thương có thể gặp là hình ảnh dạng nốt lan tỏa, hang trên vùng đông đặc và hình thành các u nấm * Viêm phổi do Virus – Influenza: Ở người lớn, tổn thương dạng đám mờ phế nang ở thùy dưới hai bên hay dạng kính mờ. Ở trẻ em, gặp dạng nốt lưới lan tỏa. Nếu kèm bội nhiễm, có thể gặp hình ảnh đông đặc thùy phổi, apxe , tràn dịch màng phổi. – Virus cúm H5N1: thường gặp tổn thương thâm nhiễm dạng đám, nhiều nơi, lan tỏa hoặc đông đặc phổi. Có thể tràn dịch màng phổi và tạo hang. Trong giai đoạn hồi phục, tổn thương dai dẳng với dạng đông đặc phổi cũng như dạng kính mờ. Các hình ảnh khác là giả tạo hang, giả nang phổi, hạch lớn. – Coronavirus (SARS): tổn thương dạng kính mờ, ưu thế phân bố thùy dưới và phía ngoại biên. Tổn thương dạng kính mờ có thể kèm theo hay không đông đặc phổi. Đông đặc phổi đơn thuần ít gặp. Có thể dày các vách liên tiểu thùy. – Sởi (Measles): Viêm phổi nguyên phát do virus tạo hình ảnh mờ dạng đốm khoảng khí hay mô kẽ toàn bộ phổi. Trẻ em, thường gặp hình ảnh hạch lớn rốn phổi. Ở người lớn, hạch lớn chỉ gặp ở trường hợp viêm phổi không điển hình. Trường hợp bội nhiễm, có thể gặp hình ảnh viêm phổi mô kẽ, viêm phổi theo phân thùy và xẹp phổi. Viêm phổi không điển hình biểu hiện hình ảnh đông đặc phân bố theo thùy hoặc phân thùy, thường kém hạch lớn rốn phổi và tràn dịch màng phổi. Khác với viêm phổi điển hình, các đám mờ đông đặc và tràn dịch biến mất rất nhanh sau điều trị, tuy nhiên các nốt còn lại có thể tồn tại nhiều nằm hoặc ngấm vôi. – Thủy đậu (Herpes Varicellae): hình ảnh đông đặc khoảng khí lan tỏa, dạng đốm. Hạch rốn phổi. Tràn dịch màng phổi ít gặp và số lượng dịch thường rất ít. Các dấu hiệu X-quang mất đi trong 9 ngày đến vài tháng. Biểu hiện ít gặp là các nốt ngấm vôi 2-3mm nằm lan tỏa hai phổi, ưu thế nửa dưới phổi ở bệnh nhân mắc bệnh trước đó nhiều năm. => Case lâm sàng 1: => Case lâm sàng 2: * Viêm phổi do ký sinh trùng – Amip: tràn dịch màng phổi phải kèm bệnh lý đáy phổi là hình ảnh thường gặp. Viêm mủ màng phổi do amip thường nhiều, có thể gây mờ toàn bộ lồng ngực và đẩy lệch trung thất. Tổn thương phổi thường biểu hiện hình ảnh đông đặc đồng nhất, bờ không rõ, liên quan thùy dưới hay giữa bên phải, không có ranh giới giữa các phân thùy. Vài vùng đông đặc tạo apxe sau đó tạo hang – Giun đũa: * Viêm phổi do lipoid – Viêm phổi do lipoid là một tình trạng hiếm gặp xảy ra khi các hạt chất béo xâm nhập vào phổi. – Bình thường không quan sát thấy hình ảnh nhu mô phổi trên siêu âm do khí trong phế quản và phế nang. – Khi có tổn thương viêm đông đặc dịch lấp đầy chùm phế nang và phế quản: => Case lâm sàng 1 & 2: => Case lâm sàng 3: => Case lâm sàng 4: => Case lâm sàng 5: => Case lâm sàng 6: => Case lâm sàng 7: => Case lâm sàng 8: => Case lâm sàng 9: => Case lâm sàng 10: => Case lâm sàng 11: => Case lâm sàng 12: => Videos viêm phổi: => Phân biệt xẹp phổi thụ động: – Tổn thương dạng kính mờ trong 1 thùy hoặc phân thùy. => Case lâm sàng 1: – Tổn thương dạng đông đặc phổi trong có hình cây phế quản chứa khí. => Case lâm sàng 1: => Case lâm sàng 2: => Case lâm sàng 3: => Case lâm sàng 4: => Case lâm sàng 5: – Biểu hiện hoại tử – apxe hóa: => Case lâm sàng 1: => Case lâm sàng 2: => Case lâm sàng 3: => Case lâm sàng 4: – Viêm phổi thùy: hình ảnh đông đặc phổi trong có cây phế quản chứa khí với phế quản không bị chèn ép hoặc bít tắc, xung quanh là các chùm phế nang chứa khí => “hình ảnh cây có lá”, phế quản có thể giãn (do giảm thể tích làm phế quản ngắn và rộng hơn). – Ung thư biểu mô tuyến hoặc Lymphoma: + Dạng bóng khí: do khối u xâm lấn các phế quản ngoại vi, các đoạn phế quản chưa xâm lấn tạo ảnh giả như bóng khí. + Các khối u phổi thường có Air bronchogram sign (-), ngoại trừ ung thư biểu mô phế quản phế nang (Bronchoalveolar carcinoma). => Case lâm sàng 1: => Case lâm sàng 2: – Xẹp phổi phổi thụ động: do chèn ép từ bên ngoài phổi như tràn dịch màng phổi, tràn khí màng phổi, tổn thương choán chỗ trong lồng ngực. Còn thấy hình ảnh phế quản chứa khí trong vùng phổi xẹp. => Case lâm sàng 1: – Nốt mờ kẽ cạnh tiểu phế quản trung tâm.II. Chẩn đoán x-quang
1. Đường lây nhiễm
– Tổn thương biểu hiện dạng các bóng mờ đồng nhất, nhiều phân thùy hoặc toàn bộ thùy phổi, bị giới hạn bởi các rãnh màng phổi.
– Tổn thương bắt đầu trong hoặc quanh phế quản tiểu thùy, sau đó lan theo phế quản, gây tổn thương toàn bộ tiểu thùy phổi.
– Tổn thương tạo nhiều đám mờ thâm nhiễm, dạng khoảng khí, rải rác ở các phân thùy phổi, phân bố không đồng nhất, xen kẽ những vùng phổi lành và vùng phổi tổn thương.
– Xuất tiết dịch trong phế quản làm tổn thương có thể không có dấu hiệu “Khí phế quản đồ”.
– Các tổn thương có thể kết hợp với nhau tạo hình ảnh giống viêm phổi thùy.
– Dày thành phế quản, giãn phế quản
– Tổn thương thành phế quản và tổ chức mô kẽ, tạo hình ảnh dày thành phế quản và các dạng tổn thương mô kẽ.
– Tổn thương biểu hiện dưới dạng dày thành phế quản, tổn thương mô kẽ dạng nốt không đều hoặc dạng lưới. Thường không có dấu hiệu “Khí phế quản đồ”
– Có thể gặp hình ảnh xẹp các phân thùy phổi hoặc hạ phân thùy do tắc nghẽn các đường dẫn khi có kích thước nhỏ.2. Đặc điểm hình ảnh
– Các bóng mờ thường có dạng lưới hay nốt lưới
– Viêm phổi tròn nói chung thường gặp ở trẻ em và ít được báo cáo ở người lớn. Chẩn đoán cần được đặt ra ở bệnh nhân trẻ có hình ảnh lâm sàng viêm phổi điển hình.
– Viêm phổi tròn được do biểu hiện sớm của bệnh từ một ổ nhiễm trùng lan kiểu ly tâm, hoặc bằng cách đi qua các lỗ Kohn hoặc ống Lambert, hoặc bằng cách phá huỷ thành phế nang xung quanh. Một giả thuyết khác cho rằng viêm phổi tròn xảy ra ở trẻ em vì các lỗ Kohn chưa phát triển và không có ống Lambert làm hạn chế sự lan của vi sinh vật dẫn đến khối tròn, ổ thấy trên X quang và CT. Giả thuyết này cũng có thể giải thích tại sao viêm phổi tròn thường ít gặp hơn ở người lớn, có ống Lambert phát triển đầy đủ. Giai đoạn tạo hình tròn cũng có thể thấy khi viêm phổi lan toả thuyên giảm chậm, gợi ra quá trình bệnh lý thứ phát
– Nguyên nhân:
+ Trẻ em: Streptococcus pneumoniae, and less frequently Aspergillus spp., Legionella spp. and Staphylococcus aureus
+ Người lớn: Klebsiella pneumoniae
– Đặc điểm hình ảnh:
+ Chụp X-quang ngực cho thấy chẩn đoán < 50% trường hợp vì dịch do hoại tử hóa lỏng có đậm độ tương tự như phổi đông đặc xung quanh. Mặc dù ở giai đoạn muộn các vùng hoại tử có thể thấy do chất lỏng được thay thế bằng khí.
+ Hình ảnh đông đặc phổi trong có cây khí phế quản.
+ Các khoang khí trong vùng đông đặc phổi.
+ Có thể kèm dịch màng phổi.3. Nguyên nhân
– Tổn thương điển hình là các vùng đông đặc phổi gặp ở thùy đáy.
– Vùng đông đặc phổi thường đồng nhất, có dấu hiệu “Khí phế quản đồ”, giới hạn ở một thùy phổi
– Viêm phổi dạng tròn có thể giống u phổi.
– Tổn thương ít khi tạo hang
– Có thể tràn dịch, viêm mủ màng phổi kèm theo, đặc biệt ở bệnh nhân suy kiệt
– Dạng không điểu hình là các đám mờ không đồng nhất, nằm ở các phân thùy giống phế quản phế viêm
– Hình ảnh X-Quang cải thiện nhanh, thường thay đổi trong 1 tuần và trở về bình thường sau 2-6 tuần
– Phần lớn trường hợp do hít phải vi khuẩn vào đường dẫn khí ở đoạn xa
– Đôi khi có nhiễm trùng máu, biến chứng thường gặp ở bệnh nhân lạm dụng thuốc
– Hình ảnh điển hình là đông đặc nhu mô phổi, phân bố theo phân thùy phổi. Tổn thương dạng đốm hoặc đồng nhất. Viêm nhiễm xuất tiết vào đường dẫn khí do đó hiếm gặp hình ảnh “Khí phế quản đồ”
– Hình ảnh tổn thương khác nhau giữa trẻ em và người lớn. Ở trẻ em, xu hướng đông đặc xảy ra nhanh, liên quan toàn bộ thùy phổi hoặc nhiều thùy. Hình ảnh điển hình khác là tạo thành các túi khí thoát vị, gặp khoảng 50% trường hợp. Các túi khí thường có thành mỏng, đôi khi có kích thước rất lớn, có thể có mức dịch-khí. Các túi khí thường gặp trong tuần đầu của bệnh sau đó biến mất trong vòng vài tuần.
– Ở người lớn, khoảng 60% tổn thương gặp ở các hai phổi, thường tạo apxe. Apxe thường một ổ, thành trong rất không đều. Túi khí thoát vị hiếm gặp. Khoảng 50% trường hợp gặp tràn dịch màng phổi và viêm mủ màng phổi.
– Nếu theo đường máu, tổn thương biểu hiện dưới dạng các nốt tròn, rải rác khắp phổi với bờ không rõ, phát triển nhanh trong vòng vài ngày, có thể hợp lưu tạo hình ảnh đông đặc phổi đồng nhất hoặc tạo hang, đặc biệt ở giai đoạn muộn.
– Bệnh thường gặp một bên, ở phần sau thùy trên hoặc phần trên thùy dưới
– Đặc điểm hình ảnh giai đoạn cấp giống viêm phổi do phế cầu: đông đặc nhu mô phổi đồng nhất, có hình ảnh khí phế quản đồ, không phân bố rõ theo các phân thùy.
– Đặc điểm khác với viêm phổi do phế cầu: có xu hướng xuất tiết viêm nhiễm khá nhiều làm thể tích vùng phổi tổn thương lớn hơn bình thường và kết quả đẩy lồi rãnh liên thùy phổi, tạo apxe và tạo hang, tràn dịch và viêm mủ màng phổi thường gặp. Khi lành thường có sự xơ hóa, tạo hang, hình ảnh tổn thương có thể giống như lao phổi.
– Các tổn thương thường gặp ở các phân thùy sau của thùy trên, các phân thùy trên của thùy dưới khi viêm phổi hít xảy ra ở bệnh nhân nằm và gặp ở các phân thùy đáy khi xảy ra ở tư thế đứng
– Phổi phải thường gặp gấp 2 lần phổi trái
– Hình ảnh đông đặc phổi đồng nhất theo phân thùy, đôi khi nằm ở ngoại biên, giống u phổi.
– Hạch rốn phổi và trung thất có thể lớn
– Phần lớn trường hợp, hoại tử nặng nề gặp ở thời kỳ khởi phát với hình ảnh một hoặc nhiều hang có thành dày không đều, nằm ở các phần phía sau của phổi.
– Hình ảnh mức dịch-khí rất hay gặp, nhu mô phổi xung quanh đông đặc.
+ Hội chứng Löffler được mô tả lần đầu tiên vào năm 1932. Hội chứng là một tình trạng bệnh phổi viêm nhiễm thoáng qua có thâm nhiễm bạch cầu eosin và có biểu hiện tổn thương trên phim chụp X-quang phổi. Tuy nhiên những ký sinh trùng khác và phản ứng quá mẫn cấp tính với thuốc cũng có thể là bệnh nguyên của hội chứng này.
+ Sau khi người nuốt trứng Ascaris lumbricoides, ấu trùng đẻ trong thành ruột và xuyên qua hệ bạch huyết mạc treo tràng rồi đến các tiểu mạch (venules) vào trong tuần hoàn phổi. Chúng liên tục lấp đầy các mao mạch phổi và tiếp tục chu kỳ bằng cách di chuyển vào thẳng các vách phế nang.
+ Biểu hiện các vùng đông đặc đồng nhất, dạng đốm.
+ Trong nhiều trường hợp, hình ảnh trên chỉ thoáng qua mà không có sự phân bố rõ của tổn thương theo phân thùy.
+ Kích thước các bóng mờ có thể lên đến vài cm.
+ Trong trường hợp vừa phải, tổn thương có có xu hướng nằm riêng rẽ và tập trung ở vùng rốn phổi. Nếu nặng hơn, tổn thương xu hướng hợp lưu và có dạng thùy phổi
– Có hai loại viêm phổi do lipoid:
+ Viêm phổi do lipoid ngoại sinh. Điều này xảy ra khi các hạt chất béo xâm nhập từ bên ngoài cơ thể và đến phổi qua mũi hoặc miệng.
+ Viêm phổi do lipoid nội sinh. Ở loại này, các hạt chất béo tích tụ trong phổi, gây viêm. Viêm phổi lipoid nội sinh còn được gọi là viêm phổi do cholesterol, viêm phổi vàng, hoặc trong một số trường hợp là viêm phổi lipoid vô căn.III. Chẩn đoán siêu âm
+ Quan sát thấy hình ảnh nhu mô phổi đông đặc => hình ảnh tương tự nhu mô gan (gan hóa phổi).
+ Hình ảnh khí phế quả đồ: các nhánh phế quản kèm rèm đuôi sao chổi phân nhánh như cành cây nằm trong vùng nhu mô phổi đông đặc hoặc biểu hiện các bóng khí nhỏ rải rác trong nhu mô phổi đông đặc.
+ Các phế quản có thể chứa đầy dịch.
+ Doppler: quan sát thấy các hình ảnh mạch máu phế quản từ trung tâm tỏa ra ngoại vi.
+ Có thể kèm dịch khoang màng phổi.
– Dịch khoang màng phổi.
– Tổn thương đông đặc và 1 số nhánh phế quản chứa khí.IV. Chẩn đoán CLVT
1. Viêm phổi thùy
+ Là một biến chứng nặng, xảy ra ở khoảng 7% những người bị viêm phổi do vi khuẩn, có thể gặp ở cả trẻ em và người lớn. Thường được gây ra bởi Streptococcus hoặc Aspergillus.
+ Hình ảnh đông đặc phổi trong có cây phế quản khí.
+ Các khoang giảm tỷ trọng, ngấm thuốc kém sau tiêm hoặc ngấm thuốc viền nằm trong vùng tổn thương đông đặc của viêm phổi.
+ Có thể có các khoang chứa khí.
+ Thường có nhiều khoang, ranh giới rõ.2. Chẩn đoán phân biệt
+ Phế quản cắt cụt hoặc hẹp và kéo dài, hiếm khi phân nhánh, xung quanh không có các chùm phế nang chứa khí do khối u xâm nhập và chèn ép => “hình ảnh cây không lá”. Khối u ngấm thuốc kém không đồng nhất sau tiêm.3. Viêm phế quản phổi
– Dày thành phế quản
– Giãn phế quản
– Tổn thương dạng khảm do bẫy khí
Tài liệu tham khảo
* What Every Radiologist Should Know about Idiopathic Interstitial Pneumonias – Christina Mueller-Mang, MD, Claudia Grosse, MD
* Imaging of Pulmonary Viral Pneumonia – Tomás Franquet, MD, PhD
* Bronchiolitis: A Practical Approach for the General Radiologist – Peter J. Winningham , Santiago Martínez-Jiménez, Melissa L. Rosado-de-Christenson
* Radiologic and Pathologic Features of Bronchiolitis – Sudhakar J. Pipavath, David A. Lynch, Carlyne
* “Lung ultrasound integrated with Chest-XR in first diagnosis of pediatric pneumonia and its role in follow-up.” – S. Ianniello, B. sessa, V. Di Giacomo
* Role of lung ultrasound in the evaluation of pneumonia in children – I. Sefic-Pasic, A. Džananović, A. Pasic, S. Vegar Zubovic; SARAJEVO/BA
* The different faces of Nonspecific Interstitial Pneumonia – M. Simões; Lisbon/PT
* When fat is good news: lipoid pneumonia, an overlooked differential diagnosis – A. L. Popirtac; Paris/FR
* Organizing pneumonia: Typical and atypical CT manifestations of a great mimicker in chest radiology – M. Rossius, C. M. Schaefer-Prokop, M. den Bakker
* Usual Interstitial Pneumonia: What the radiologist should know – M. C. A. Hurtado, A. Torres Rodriguez, C. Simon Bejarano
* An Update on Bronchiolitis Obliterans Organising Pneumonia – C. Hui, J. Tan; Melbourne/AU
* Lung ultrasound in the diagnosis of pneumonia in adult patients; Going backwards or forward? – M. Santoscoy, M. M. Ruiz Ballesteros
* Imaging features of necrotizing pneumonia in children – V.-A. Oprea, O. Fufezan; Cluj Napoca/RO
* It could be organizing pneumonia: Be careful – S. De la mano González, J. C. Paniagua, P. Arias Rodriguez
* Cryptogenic Organising Pneumonia – the spectrum of HRCT findings – J. Tan, C. S. Low, T. P. T. Au Yong, S. Hussain; Birmingham/UK
* Idiopathic Interstitial Pneumonia: A Pictorial Review – M. B. Bolina, L. Vieira, F. P. Martins
* Organizing pneumonia: A great mimicker – C. Paulino, B. Graça, A. Canelas, P. Marques, L. Teixeira, M. Gonçalo, F. Caseiro Alves; Coimbra/PT
* Radiographic and CT Features of Viral Pneumonia – Hyun Jung Koo, Soyeoun Lim, Jooae Choe
* Grainger & Allison’s Diagnostic Radiology – Andreas Adam
* Noninfectious Inflammatory Lung Disease: Imaging Considerations and Clues to Differential Diagnosis – Stefan Franz Nemec, Ronald L. Eisenberg, and Alexander A. Bankier















# Cập nhật nội dung bài viết & Case lâm sàng 3/12/2025
# Cập nhật nội dung bài viết & Case lâm sàng 1/3/2024
# Cập nhật nội dung bài viết & Case lâm sàng 19/1/2024
# Cập nhật nội dung bài viết & Case lâm sàng 1/9/2023
# Cập nhật nội dung bài viết & Case lâm sàng 12/8/2023