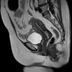
Hình ảnh giải phẫu MRI tiểu khung nam & nữ.
Axial / Coronal / Sagittal.
Giải Phẫu MRI Khớp Gối | Bài giảng CĐHA
Giải phẫu MRI khớp gối.
Axial / Coronal / Sagittal
Giải Phẫu MRI Hốc Mắt | Bài giảng CĐHA
Giải phẫu MRI – CT ổ mắt & Dây TK thị giác
Axial / Coronal / Sagittal
Giải Phẫu MRI Khớp Háng | Bài giảng CĐHA
Hình ảnh giải phẫu MRI khớp háng.
Axial / Coronal / Sagittal.
Giải Phẫu X-Quang Sọ Mặt | Bài giảng CĐHA
Giải phẫu X-quang xương hộp sọ – xương hàm mặt…




