Giải phẫu động mạch & tĩnh mạch não.
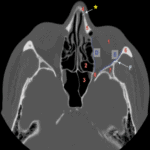
Giải Phẫu CT Mũi Xoang | Bài giảng CĐHA
Hình ảnh giải phẫu CT mũi xoang.
Giải Phẫu CT & MRI Vùng Cổ | Bài giảng CĐHA
Hình ảnh giải phẫu Cắt lớp vi tính / Cộng hưởng từ vùng cổ.
Giải Phẫu CT Bụng | Bài giảng CĐHA
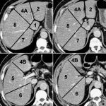
Giải phẫu cắt lớp vi tính ổ bụng.
# Giải phẫu hạ phân thùy gan.
# Giải phẫu tuyến thượng thận.
# Giải phẫu cơ hoành.
# Giải phẫu mạch máu…
Giải Phẫu CT Ngực | Bài giảng CĐHA
Tài liệu tham khảo * Bronchopulmonary segmental anatomy – Dr Yuranga Weerakkody and Dr Jeremy Jones * Segmental Anatomy of the Lung – Leo G. Rigler * Pulmonary vascular anatomy & anatomical variants – Asha Kandathil, Murthy Chamarthy * ITMIG Classification of Mediastinal Compartments and Multidisciplinary Approach to Mediastinal Masses – Brett W. Carter , […]




