I. Đại cương
– Hơn 90% các trường hợp ho ra máu từ phổi là do thương tổn các nhánh động mạch phế quản. Ngoài động mạch phế quản, trong những trường hợp thương tổn phổi nặng có kèm các nhánh nối khác từ động mạch chủ ngực, động mạch thành ngực – bụng đến cung cấp máu cho thương tổn phổi và là nguồn chảy máu quan trọng trong ho ra máu.
– Các nguyên nhân của thương tổn động mạch phế quản gây ho ra máu thường gặp là giãn phế quản, lao phổi cũ, lao phổi tạo hang, apxe phổi hoặc sau chấn thương nhu mô phổi, nhiễm nấm phổi.
– Hiện nay việc chẩn đoán nguyên nhân ho máu do bệnh lý động mạch phế quản và tiến hành can thiệp kịp thời mang lại nhiều cơ hội sống cho người bệnh…
  NỘI DUNG WEB
» 422 Bài giảng chẩn đoán hình ảnh
» X-quang / Siêu âm / CT Scan / MRI
» 25.000 Hình ảnh case lâm sàng
  ĐỐI TƯỢNG
» Kỹ thuật viên CĐHA
» Sinh viên Y đa khoa
» Bác sĩ khối lâm sàng
» Bác sĩ chuyên khoa CĐHA
  Nội dung Bài giảng & Case lâm sàng thường xuyên được cập nhật !
  Đăng nhập Tài khoản để xem Nội dung Bài giảng & Case lâm sàng !!!
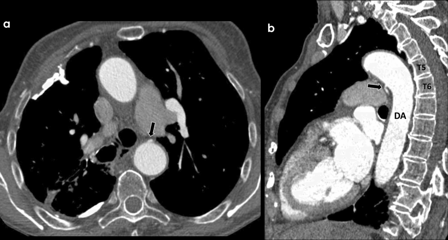
– Trong y văn, cụm từ động mạch phế quản dùng để chỉ các động mạch phế quản chính thức xuất phát từ động mạch chủ xuống, ngang D5-D6 (95%) – gần ngang mức carina và các động mạch phế quản lạc chỗ (2-4%) xuất phát từ phần cao ngang D4 hoặc phần thấp ngang D8 của động mạch chủ ngực hoặc xuất phát từ động mạch dưới đòn, động mạch vành, thân động mạch giáp-cổ. – Khi bắt nguồn từ động mạch chủ xuống, các động mạch phế quản phải thường phát sinh từ thành sau-bên, trong khi các động mạch phế quản trái bắt nguồn từ thành trước hoặc bên, cả hai đều chạy ra sau khí quản và phế quản chính về phía rốn phổi. – Type 1 (3 nhánh): 1 thân chung động mạch phế quản – liên sườn phải + 2 động mạch phế quản trái. – Động mạch phế quản nhỏ và mảnh, sau khi qua rốn phổi chia nhỏ dần để vừa cho nhánh chạy tùy hành cùng các ống phế quản cho tới ngang phế quản tận cùng thì tỏa thành búi mao mạch hòa cùng lưới mao mạch phổi quanh phế nang vừa cho nhánh động mạch xiên vào thành quản tạo thành lưới mao mạch thứ 2 trong thành phế quản. Hai mạng lưới mao mạch trên hòa nhập với nhau ở ngoại vi của phổi rồi dẫn lưu theo tĩnh mạch phế quản hoặc tĩnh mạch phổi về tuần hoàn chung. – Một nhóm mạch thứ 3 có liên quan tới tuần hoàn phế quản phổi có tên gọi là các động mạch thuộc phế quản. Đó là các động mạch nằm trong lớp cơ thành ngực và chia nhánh nuôi là thành màng phổi: nhánh từ động mạch dưới đòn, động mạch liên sườn, động mạch vú…nhưng khi phần phổi sát thành ngực hoặc màng phổi bị tổn thương mạn tính thì chúng xuyên vào phổi, nối với hệ mạch phế quản – phổi và tình trạng ứ máu có thể tăng lên. * Nguyên nhân tuần hoàn * Nguyên nhân hô hấp * Dị sản động mạch phế quản – Động mạch phế quản tách từ động mạch chủ xuống ngang mức D3 tới D8, trong đó 80% ngang mức D5-D6. – Hình ảnh giả phình động mạch phế quản. – Tổn thương phối hợp: giãn phế quản, hình kính mờ hoặc tổn thương dạng khảm (khi có ho máu), tổn thương lao cũ, phình động mạch phế quản, huyết khối động mạch phổi… => Case lâm sàng 1: => Case lâm sàng 2: => Case lâm sàng 3: => Case lâm sàng 4: => Case lâm sàng 5: => Case lâm sàng 6: => Case lâm sàng 7: => Case lâm sàng 8: => Case lâm sàng 9: => Case lâm sàng 10: – Là phương pháp hiện được áp dụng phổ biện tại nhiều cơ sở y tế trong điều trị can thiệp nút mạch những trường hợp giãn ĐM phế quản có biến chứng ho máu.II. Giải phẫu
III. Phân loại
– Type 2 (2 nhánh): 1 thân chung động mạch phế quản – liên sườn phải +1 động mạch phế quản trái.
– Type 3 (4 nhánh): 1 thân chung động mạch phế quản – liên sườn phải & 1 động mạch phế quản phải + 2 động mạch phế quản trái.
– Type 4 (3 nhánh: 1 thân chung động mạch phế quản – liên sườn phải & 1 động mạch phế quản phải + 1 động mạch phế quản trái.
– Cuống động mạch phế quản dài 3cm, đường kính < 1.5mm.IV. Nguyên nhân
– Các bệnh tim bẩm sinh có kèm theo teo hoặc hẹp van động mạch phổi, có hoặc không kèm theo teo thân động mạch phổi. Tắc tĩnh mạch phổi bẩm sinh.
– Tắc động mạch phổi, viêm tắc tĩnh mạch phổi, tăng áp lực động mạch phổi do nghẽn mạch.
– Viêm phế quản phổi mạn tính, đặc biệt là lao phổi.
– Giãn phế quản bẩm sinh hoặc mắc phải.
– Viêm dày dính màng phổi.
– Chấn thương ngực.
– Khối u phổi.V. Chẩn đoán hình ảnh
1. Chẩn đoán CLVT
– Đường kính động mạch > 2mm.
– Động mạch phế quản giãn ngoằn ngoèo.2. Chẩn đoán DSA
– Hình ảnh động mạch phế quản giãn ngoằn ngoèo, có thể thấy ổ thoát thuốc.
Tài liệu tham khảo
* Bronchial Artery Dilatation on MDCT Scans of Patients with Acute Pulmonary Embolism: Comparison with Chronic or Recurrent Pulmonary Embolism – Ichiro Hasegawa, Phillip M. Boiselle and Hiroto Hatabu
* Bronchial Arteries: Anatomy, Function, Hypertrophy, and Anomalies – Christopher M. Walker , Melissa L. Rosado-de-Christenson, Santiago Martínez-Jiménez
* Bronchial Arteries – A practical approach for the general radiologist – J. M. Almeida, J. M. Veiga, C. A. S. Ruano
* Evaluation of the bronchial arteries: normal findings, hypertrophy and embolization in patients with hemoptysis – João Almeida, Cecília Leal, Luísa Figueiredo
* Bronchial and Nonbronchial Systemic Arteries in Patients with Hemoptysis: Depiction on MDCT Angiography – Myung Jin Chung, Ju Hyun Lee, Kyung Soo
* Hypertrophied bronchial and non-bronchial systemic arteries in hemoptysis: MDCT and DSA illustration of common variants – M. Gupta, D. N. Srivastava, A. Seith
* An Interventionalist’s Guide to Hemoptysis in Cystic Fibrosis – Eric J. Monroe , David B. Pierce, Christopher R. Ingraham









# Cập nhật nội dung bài viết & Case lâm sàng 4/2/2023
# Cập nhật nội dung bài viết & Case lâm sàng 13/12/2022
# Cập nhật nội dung bài viết & Case lâm sàng 9/1/2022