THẦN KINH
Hiển thị 321–340 của 885 kết quảĐã sắp xếp theo mới nhất
-

U mỡ nội sọ
Lượt xem: 34» 16-09-2019 -

U màng não
Lượt xem: 151» 14-09-2019 -

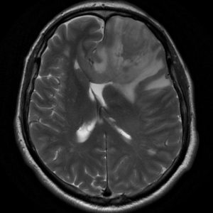
Lymphoma não
Lượt xem: 141» 14-09-2019 -

Viêm mủ màng cứng
Lượt xem: 162» 14-09-2019 -

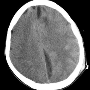
Tụ máu ngoài màng cứng
Lượt xem: 228» 12-09-2019 -

Di căn não
Lượt xem: 122» 12-09-2019 -

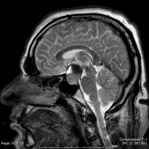
U tuyến yên
Lượt xem: 138» 11-09-2019 -

U màng não
Lượt xem: 89» 11-09-2019 -

U ống sống
Lượt xem: 186» 08-09-2019 -

Nang thượng bì
Lượt xem: 186» 08-09-2019 -

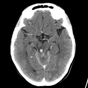
Nhồi máu não
Lượt xem: 361» 05-09-2019 -

U sọ hầu
Lượt xem: 211» 02-09-2019 -

Phù não
Lượt xem: 350» 02-09-2019 -

Di căn não
Lượt xem: 184» 31-08-2019 -

U màng não
Lượt xem: 175» 31-08-2019 -

Mỡ nội sọ
Lượt xem: 190» 24-08-2019 -

Nang màng nhện
Lượt xem: 174» 24-08-2019 -

U màng não
Lượt xem: 206» 24-08-2019 -

Đụng dập nhu mô não
Lượt xem: 288» 23-08-2019 -

Nang khe Rathke
Lượt xem: 233» 23-08-2019



















