Theo Deyken và Kraviecki có hàng trăm loại dị dạng bẩm sinh sọ não- cột sống. Smith đã thống kê và cho biết có 345 kiểu dị dạng sọ não – cột sống. Nguyên nhân là do các độc tố tác động lên các giai đoạn khác nhau trong quá trình phát triển của hệ thần kinh ở giai đoạn phôi thai cũng như giai đoạn hậu sinh. Theo Kalter và Warkany, khoảng 3% trẻ sơ sinh có dị dạng bẩm sinh lớn (ảnh hưởng tới chức năng cột sống) trong đó có kèm theo dị dạng thần kinh. 40% trẻ em tử vong trong năm đầu có liên quan tới dị dạng bẩm sinh của hệ thần kinh trung ương…
BỆNH LÝ XƯƠNG KHỚP

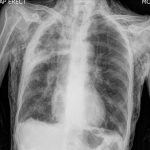
Gãy Xương Sườn | Bài giảng CĐHA *
Gãy xương sườn là một tổn thương thường gặp trong chấn thương lồng ngực. Gãy trực tiếp: tác nhân gây chấn thương ở đâu thì xương sườn gãy ở đó. Đây là loại gãy từ ngoài vào, do đó tạng nào nằm ngay sát ổ gãy dễ bị thương tổn nhất (thường là phổi). Gãy gián tiếp: tác nhân gây chấn thương ép từ phía trước ngực, còn phía sau lưng là một vật cản cố định, lồng ngực bị ép dẹt lại theo chiều trước sau, cung bên của xương sườn sẽ bị gãy. Tạng nằm giữa trung thất là tạng dễ bị thương tổn (tim, mạch máu lớn)…
Tràn Khí Dưới Da | Bài giảng CĐHA *
Tràn khí dưới da (Subcutaneous Emphysema) là hiện tượng những bong bóng khí tích tụ lại tại mô dưới da mà khi chạm hay sờ nắn vùng da ta nghe được tiếng nổ lép bép. Những bong bóng khi này thường nhỏ, không cố định, ấn vào không đau, mặc dù nguyên nhân gây tràn khí dưới da phần lớn là do chấn thương…
Gãy Xương Ức | Bài giảng CĐHA *
Gãy xương ức ít gặp trong chấn thương ngực. Nguyên nhân thường do lực tác động mạnh trực tiếp lên mặt trước của xương ức hoặc do chấn thương làm gập mạnh xương ức lại (như trong trường hợp gãy lún đốt sống). Hầu hết các trường hợp đường gãy thường nằm ngang và hay gãy tại chỗ sụn tiếp giáp giữa cán ức và thân ức…
Vôi Hóa Sụn Khớp | Bài giảng CĐHA *
Vôi hóa sụn khớp (Chondrocalcinosis) còn gọi là vôi hóa sụn khớp lan tỏa hay giả goutte, nằm trong nhóm bệnh viêm khớp vi tinh thể: gồm bệnh gout, bệnh vôi hóa sụn khớp và viêm khớp sau khi tiêm Steroid nội khớp. Vôi hóa sụn khớp được đặc trưng bởi hiện tượng lắng đọng calci ở mô sụn và mô xơ sụn…




