Bệnh Hirschsprung còn có tên gọi khác như bệnh phình đại tràng bẩm sinh, bệnh vô hạch đại tràng bẩm sinh. Hirschsprung là một bệnh khá phổ biến ở trẻ em. Trẻ trai mắc bệnh nhiều hơn trẻ gái, với tỷ lệ nam/nữ từ 4/1 – 9/1 trẻ. Nguyên nhân gây bệnh là do không có các tế bào hạch thần kinh ở đám rối của lớp cơ một đoạn ruột, thường ở trực tràng và đại tràng Sigma, có thể tới đại tràng trái, toàn bộ đại tràng và cả ruột non…
BỆNH LÝ HỆ TIÊU HÓA

Lồng Ruột | Bài giảng CĐHA
Lồng ruột (Intussusception) là một cấp cứu bụng ngoại khoa thường gặp, do một đoạn ruột lộn lại và chui vào lòng của đoạn ruột kế cận, là nguyên nhân của tắc ruột cơ học mà cơ chế vừa do bít vừa do thắt. Lồng ruột có thể gặp ở bất cứ lứa tuổi nào, nhưng thường gặp ở trẻ dưới 2 tuổi (chiếm tới 80% các trường hợp lồng ruột), trong đó gặp nhiều nhất là ở lứa tuổi 4 – 9 tháng. Lồng ruột gặp ở bé trai nhiều hơn bé gái từ 2 – 4 lần. Bệnh ít gặp ở trẻ suy dinh dưỡng, đa số gặp ở trẻ béo tốt, bụ bẫm…
Khí Đường Mật | Bài giảng CĐHA
Khí đường mật (Pneumobilia – Aerobilia) là sự hiện diện của khí trong đường mật. Nguyên nhân: Cắt cơ vòng Oddi / Nối mật ruột / Tắc ruột do sỏi mật / Nhiễm trùng đường mật: viêm đường mật, viêm túi mật khí thũng, apxe gan mật…
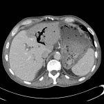
Nang Giả Tụy | Bài giảng CĐHA
Nang giả tụy (Pancreatic Pseudocyst) là sự tập trung khu trú chất dịch có nồng độ cao của amylase (và các men tụy khác) trong một cấu trúc dạng nang mà thành của nó không có lớp biểu mô. Nang giả tụy chiếm phần lớn (75-80%) các tổn thương dạng nang của tụy. Sinh lý bệnh: xuất phát điểm của nang giả tụy là sự tụ dịch quanh tụy. Dịch tụy thường được hấp thu trong phần lớn các trường hợp. Những trường hợp dịch không thể hấp thu sẽ gây phản ứng xơ hoá với các cấu trúc chung quanh, tạo thành vỏ bao, hình thành nang giả tụy…
Rò Hậu Môn | Bài giảng CĐHA
Rò hậu môn (Perianal Fistula) là những nhiễm khuẩn khu trú bắt nguồn từ hốc hậu môn trực tràng, nhiễm khuẩn này dẫn tới tụ mủ, mủ lan theo tuyến Hermann-Desfosses tạo thành ổ apxe nằm trong khoang giữa cơ thắt trong và ngoài, từ đây lan ra xung quanh theo lớp cơ dọc dài phức hợp để vỡ ra ngoài ra cạnh hậu môn hoặc vỡ vào trong lòng trực tràng gây ra các thể rò hậu môn khác nhau. Apxe và rò hậu môn là hai giai đoạn của một quá trình bệnh lý. Là bệnh lý thường gặp ở vùng hậu môn trực tràng (25%), đứng thứ hai sau bệnh trĩ…




