I. Đại cương
– Tràn khí màng phổi (Pneumothorax) là hiện diện của khí bất thường trong khoang màng phổi, có thể 1 hoặc 2 bên.
– Có thể tạo áp lực dương trong khoang màng phổi do cơ chế van, khí đi vào mà không thoát ra được, gọi là tràn khí màng phổi áp lực, kèm với di lệch trung thất sang bên đối diện.
– Có thể kết hợp với tràn dịch
– Nguyên nhân: vết thương xuyên thấu, chấn thương kín (gãy sườn, vỡ phế quản) ; thủ thuật can thiệp (sinh thiết phế quản, sinh thiết xuyên thành ngực, đặt ống tĩnh mạch trung tâm, sử dụng máy thở), vỡ các nang khí ở màng phổi hay nhu mô phổi…
– Nếu không rõ nguyên nhân còn gọi là tràn khí màng phổi tự phát. Tràn khí màng phổi tự phát được phân làm 2 loại: loại nguyên phát (không có bệnh lý phổi có ý nghĩa từ trước) và loại thứ phát (có các bệnh lý phổi từ trước).
– Tràn khí màng phổi cũng có thể xảy ra như biến chứng của tràn khí trung thất, do khí thoát ra qua màng phổi trung thất vào khoang màng phổi.
– Một số trường hợp tràn khí màng phổi xảy ra tái phát theo chu kỳ ở phụ nữ. Độ tuổi thường gặp khoảng 40. Bệnh có thể xảy ra do các nguyên nhân sau: khí từ tử cung âm đạo vòi trứng vào phúc mạc, qua khuyết hoành để lên khoang màng phổi / Hoại tử nội mạc lạc chỗ ở lá tạng màng phổi gây thoát khí vào khoang màng phổi / Vỡ các bóng khí vùng đỉnh liên quan một số tác nhân trong kỳ sinh.
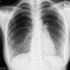
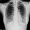
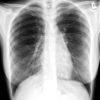
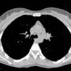
=> Case lâm sàng 1:
Tài liệu tham khảo
* Pneumothorax in the supine patient: Radiographic anatomy – Irena M. Tocino
* The X-ray and Pneumothorax – Wilson Ruffin Abbott, M.D.
* Bullous disease mimicking pneumothorax – P. Marsh, S. Raubenheimer, M. Na Nagara; QLD/AU
* Pneumothorax: ultrasound diagnosis – A. Lasarte Izcue, J. M. Navasa Melado, P. Novas Vidal
* Thoracic Ultrasound: Pictorial review of pneumothorax, the fastest and easiest method to diagnose – J. A. Guirola, V. Mayoral Campos, P. Menal Muñoz
* Has the expiratory radiograph passed its expiry date? – M. Hall, J. A. Maguire; Glasgow/UK
* Thoracic Imaging Pulmonary and Cardiovascular Radiology – W. Richard Webb
* Pneumothorax in the Supine Patient Subtle Radiographic Signs – Davis Rierson, MD and Juliana Bueno, MD
* Lung sonography in the diagnosis of pneumothorax – K. Stefanidis, K. Vintzilaios, D. D. Cokkinos
* Reappraisal of radiographic signs of pneumothorax on supine chest radiographs for critically ill patients – J.-D. Chen; Taipei/TW
* Thoracic abnormal air collections in patients in the intensive care unit: radiograph findings correlated with CT – Masafumi Sakai
* Demystifying the persistent pneumothorax: role of imaging – Apeksha Chaturvedi
* Grainger & Allison’s Diagnostic Radiology – Andreas Adam

























# Cập nhật nội dung bài viết & Case lâm sàng 10/11/2024