XƯƠNG KHỚP
Hiển thị 541–544 của 544 kết quảĐã sắp xếp theo mới nhất
-

Chấn thương ngực
Lượt xem: 308» 29-10-2018 -

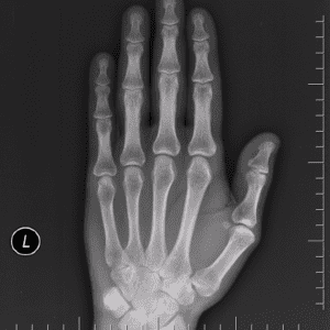
Gãy xương bàn tay
Lượt xem: 675» 29-10-2018 -

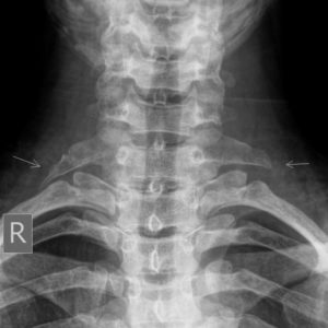
Xương sườn cổ 7
Lượt xem: 3243» 29-10-2018 -

Chấn thương cổ chân
Lượt xem: 1002» 29-10-2018



