• Giải Phẫu
  • Xương Khớp
  • Thần Kinh
  • Hô Hấp
  • Tim Mạch
  • Tiêu Hóa
  • Tiết Niệu
  • Sinh Dục

Xray.vn

Chẩn Đoán Hình Ảnh

Đăng ký Đăng nhập
Đăng nhập tài khoản
   
Thành viên mới ⇒ Đăng ký ↵
  • Atlas Netter
    • Atlas Đầu cổ
    • Atlas Lồng ngực
    • Atlas Ổ bụng
    • Atlas Chậu hông
    • Atlas Cột sống
    • Atlas Chi trên
    • Atlas Chi dưới
  • Can Thiệp
  • Siêu Âm
  • Test CĐHA
    • Test Giải phẫu
    • Lý thuyết CĐHA
    • Giải phẫu X-quang
    • Case lâm sàng XQ
    • Case lâm sàng SA
    • Case lâm sàng CT
    • Case lâm sàng MRI
    • Giải trí Xray.vn
  • CASE
  • Đào Tạo
  • Giới Thiệu
  • Liên Hệ
Ca lâm sàng » Thần Kinh » U màng nội tủy
« CASE TRƯỚCCASE SAU »
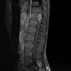
U màng nội tủy
U màng nội tủy - Ảnh 2
U màng nội tủy - Ảnh 3
U màng nội tủy - Ảnh 4

U màng nội tủy

» Thông tin: Nữ giới – 35 tuổi.

» Lâm sàng: Yếu chi dưới.

  22/06/2020
Danh mục: Thần Kinh
  • Share on Facebook
  • Tweet on Twitter
  • Share on LinkedIn
  • Đánh giá (1)
guest
guest
Phản hồi nội tuyến
Xem tất cả bình luận
ThS. Nguyễn Long
ThS. Nguyễn Long
Admin
22/06/2020 9:07 chiều

# U màng nội tủy nhầy nhú (Myxopapillary Ependymoma).

Trả lời ↵

Sidebar chính

Xem Bài Giảng Chi Tiết

  • U Trong Ống Sống (Dưới Màng Cứng) | Bài giảng CĐHA *

Thư Viện Ca Lâm Sàng

  • Hô Hấp

    Hô Hấp (450)

  • Sinh Dục

    Sinh Dục (638)

  • Tai Mũi Họng

    Tai Mũi Họng (241)

  • Thần Kinh

    Thần Kinh (885)

  • Tiết Niệu

    Tiết Niệu (357)

  • Tiêu Hóa

    Tiêu Hóa (1445)

  • Tim Mạch

    Tim Mạch (170)

  • Xương Khớp

    Xương Khớp (544)

×

Thống Kê Website

  • » 352 Chủ Đề Chẩn Đoán Hình Ảnh
  • » 13616 Lượt Cập Nhật Bài Viết
  • » 9109 Tài Khoản Đã Đăng Ký
  • » 1903 Tài Khoản Đang Truy Cập

© 2014-2026 | HPMU Radiology

HƯỚNG DẪN   ĐĂNG KÝ & GIA HẠN