• Giải Phẫu
  • Xương Khớp
  • Thần Kinh
  • Hô Hấp
  • Tim Mạch
  • Tiêu Hóa
  • Tiết Niệu
  • Sinh Dục

Xray.vn

Chẩn Đoán Hình Ảnh

Đăng ký Đăng nhập
Đăng nhập tài khoản
   
Thành viên mới ⇒ Đăng ký ↵
  • Atlas Netter
    • Atlas Đầu cổ
    • Atlas Lồng ngực
    • Atlas Ổ bụng
    • Atlas Chậu hông
    • Atlas Cột sống
    • Atlas Chi trên
    • Atlas Chi dưới
  • Can Thiệp
  • Siêu Âm
  • Test CĐHA
    • Test Giải phẫu
    • Lý thuyết CĐHA
    • Giải phẫu X-quang
    • Case lâm sàng XQ
    • Case lâm sàng SA
    • Case lâm sàng CT
    • Case lâm sàng MRI
    • Giải trí Xray.vn
  • CASE
  • Đào Tạo
  • Giới Thiệu
  • Liên Hệ
Ca lâm sàng » Hô Hấp » Tràn khí trung thất
« CASE TRƯỚCCASE SAU »
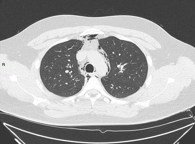
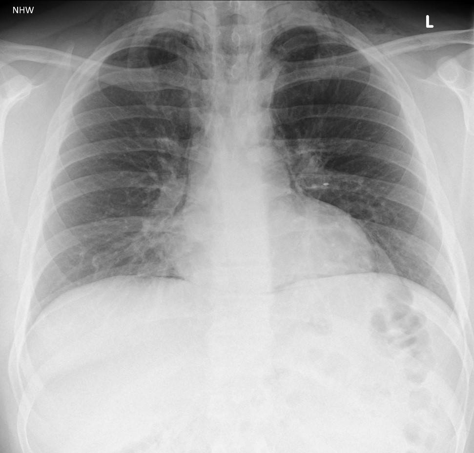
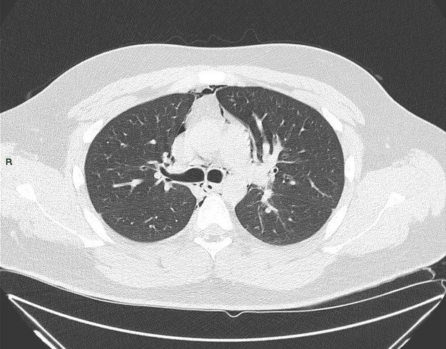
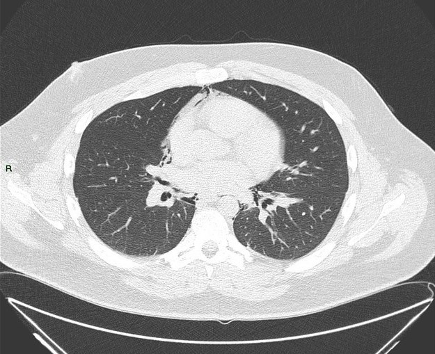
Tràn khí trung thất
Tràn khí trung thất - Ảnh 2
Tràn khí trung thất - Ảnh 3
Tràn khí trung thất - Ảnh 4
Tràn khí trung thất - Ảnh 5

Tràn khí trung thất

» Thông tin: Nam giới – 25 tuổi.

» Lâm sàng: Đau ngực.

  30/10/2020
Danh mục: Hô Hấp
  • Share on Facebook
  • Tweet on Twitter
  • Share on LinkedIn
  • Đánh giá (0)
guest
guest
Phản hồi nội tuyến
Xem tất cả bình luận

Sidebar chính

Xem Bài Giảng Chi Tiết

  • Tràn Khí Trung Thất | Bài giảng CĐHA

Thư Viện Ca Lâm Sàng

  • Hô Hấp

    Hô Hấp (450)

  • Sinh Dục

    Sinh Dục (638)

  • Tai Mũi Họng

    Tai Mũi Họng (241)

  • Thần Kinh

    Thần Kinh (885)

  • Tiết Niệu

    Tiết Niệu (357)

  • Tiêu Hóa

    Tiêu Hóa (1445)

  • Tim Mạch

    Tim Mạch (170)

  • Xương Khớp

    Xương Khớp (544)

×

Thống Kê Website

  • » 352 Chủ Đề Chẩn Đoán Hình Ảnh
  • » 13342 Lượt Cập Nhật Bài Viết
  • » 8926 Tài Khoản Đã Đăng Ký
  • » 72 Tài Khoản Đang Truy Cập

© 2014-2025 | HPMU Radiology

HƯỚNG DẪN   ĐĂNG KÝ & GIA HẠN